Cạo vôi răng là giải pháp thiết yếu giúp ngăn ngừa hôi miệng và viêm nướu, song nhiều khách hàng vẫn e ngại tình trạng “loạn giá” hay chi phí phát sinh. Đặt sự minh bạch và an toàn vô trùng lên hàng đầu, Nha Khoa Đông Nam xin gửi đến Quý khách bảng giá cạo vôi răng trọn gói năm 2026, giúp bạn an tâm lựa chọn dịch vụ chất lượng chuẩn Y khoa mà không lo về giá.
I. Bảng giá cạo vôi răng niêm yết tại Nha Khoa Đông Nam 2026
Nha Khoa Đông Nam áp dụng chính sách giá trọn gói, không phân tách nhỏ lẻ các bước trong quy trình tiêu chuẩn để đảm bảo khách hàng nhận được chất lượng điều trị tốt nhất với mức phí rõ ràng ngay từ đầu. Dưới đây là bảng giá niêm yết đang áp dụng:
| ĐIỀU TRỊ | CHI PHÍ | ƯU ĐÃI 50% | GHI CHÚ |
|---|---|---|---|
| Cạo vôi răng + Đánh bóng | 400.000 VNĐ | 200.000 VNĐ | 2 Hàm |
Để đảm bảo quyền lợi tối đa cho khách hàng, Nha Khoa Đông Nam cam kết:
- KHÔNG phí thăm khám: Miễn phí 100% chi phí khám tư vấn và chụp X-quang kiểm tra tình trạng răng (nếu cần thiết).
- KHÔNG phát sinh ngầm: Bác sĩ sẽ thăm khám, xác định chính xác mức độ vôi răng và thông báo tổng chi phí trước khi thực hiện.
- KHÔNG phụ thu: Mức giá niêm yết được giữ nguyên vào tất cả các ngày trong tuần, bao gồm Thứ 7, Chủ Nhật và ngày Lễ.
Lưu ý quan trọng: Mức giá trên đã bao gồm chi phí đánh bóng răng. Đây là bước kỹ thuật bắt buộc để làm nhẵn bề mặt men răng, hạn chế vôi răng tái bám. Khách hàng không cần trả thêm phí cho bước này như tại một số cơ sở khác.
II. Các yếu tố ảnh hưởng đến chất lượng và giá cả dịch vụ
Tại sao cùng một dịch vụ cạo vôi răng nhưng mức giá trên thị trường lại dao động lớn, từ 99.000VNĐ đến 500.000VNĐ? Sự chênh lệch này phản ánh trực tiếp công nghệ áp dụng và tiêu chuẩn an toàn y tế.
1. Công nghệ thực hiện
Đây là yếu tố tiên quyết ảnh hưởng đến trải nghiệm của khách hàng và tính bảo tồn men răng.
- Kỹ thuật cũ: Sử dụng dụng cụ cầm tay hoặc máy rung tần số thấp, dựa vào lực cạy cơ học để tách vôi răng. Phương pháp này thường gây đau, chảy máu nhiều và nguy cơ làm xước bề mặt men răng.
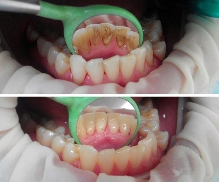
- Tại Nha Khoa Đông Nam: Chúng tôi ứng dụng công nghệ sóng siêu âm hiện đại. Đầu máy tạo ra dao động rung tần số cao để làm vỡ liên kết của mảng bám vôi răng một cách nhẹ nhàng mà không cần dùng lực. Kết hợp với hệ thống phun sương làm mát, quá trình diễn ra êm ái, bảo vệ tuyệt đối men răng và mô mềm.

2. Kinh nghiệm của bác sĩ
Bác sĩ được đào tạo bài bản sẽ kiểm soát lực tác động phù hợp, làm sạch triệt để nhưng vẫn bảo tồn men răng và mô nha chu. Yếu tố này có ảnh hưởng trực tiếp đến cảm giác trong điều trị và kết quả ổn định sau cạo vôi.
3. Tiêu chuẩn vô trùng và kiểm soát nhiễm khuẩn
Chi phí dịch vụ tại Nha Khoa Đông Nam bao gồm cả chi phí cho quy trình vô trùng nghiêm ngặt theo tiêu chuẩn Bộ Y Tế:
- Mỗi khách hàng sử dụng 01 bộ dụng cụ riêng biệt (tay khoan, đầu lấy cao, ly nước, khăn…) đã được hấp tiệt trùng Autoclave và đóng gói niêm phong.
- Sử dụng các vật tư dùng một lần (ly, ống hút, khăn…) và trang bị bảo hộ đạt chuẩn Bộ Y tế nhằm ngăn chặn tuyệt đối nguy cơ lây nhiễm chéo giữa các khách hàng.

III. Diễn tiến bệnh lý nếu không cạo vôi răng định kỳ
Vôi răng không chỉ gây mất thẩm mỹ mà còn là nơi trú ngụ của vi khuẩn gây bệnh. Nếu không được loại bỏ định kỳ, vôi răng sẽ gây ra những biến chứng theo từng giai đoạn:
- Giai đoạn 1 (Viêm nướu): Nướu sưng đỏ, dễ chảy máu khi chải răng. Hơi thở có mùi hôi khó chịu. Ở giai đoạn này, cấu trúc xương và dây chằng chưa bị phá hủy. Nếu loại bỏ vôi răng và vệ sinh tốt, nướu sẽ hồi phục hoàn toàn.
- Giai đoạn 2 (Viêm nha chu khởi phát): Khi viêm nướu không được điều trị, tình trạng viêm sẽ lan sâu xuống dưới, phá vỡ sự bám dính của nướu vào răng. Từ đó gây tình trạng tụt nướu, răng ê buốt thường xuyên hơn
- Giai đoạn 3 (Viêm nha chu tiến triển): Vi khuẩn tấn công mạnh mẽ vào dây chằng nha chu và xương ổ răng, hình thành túi mủ nha chu, áp xe, tiêu xương ổ răng. Hậu quả là răng bắt đầu lung lay và dẫn đến nguy cơ mất răng vĩnh viễn.

Khuyến nghị: Chi phí 400.000 VNĐ cho việc cạo vôi định kỳ 6 tháng/lần là khoản đầu tư tiết kiệm và hiệu quả nhất để bảo vệ sức khỏe răng miệng, tránh phải chi trả hàng chục triệu đồng cho việc trồng răng Implant sau này.
IV. Quy trình cạo vôi răng chuẩn Y khoa 5 bước
Quy trình tại Nha Khoa Đông Nam được thiết kế tối ưu hóa để đảm bảo vôi răng sạch sâu nhưng không gây cảm giác khó chịu:
- Bước 1: Thăm khám & Tư vấn
Bác sĩ kiểm tra tổng quát, xác định tình trạng vôi răng và tư vấn chi phí cụ thể. Nếu phát hiện các vấn đề bệnh lý như viêm nha chu tiến triển, lung lay răng hay túi nha chu sâu, bác sĩ sẽ chỉ định chụp phim X-quang để đánh giá mức độ tiêu xương và tư vấn kế hoạch chuyên sâu bên cạnh việc cạo vôi thông thường.
- Bước 2: Vệ sinh khoang miệng
Khách hàng súc miệng bằng dung dịch chuyên dụng để làm sạch khoang miệng. Mọi dụng cụ đều được tiệt trùng theo quy trình khép kín để ngăn ngừa tuyệt đối nguy cơ lây nhiễm chéo.
- Bước 3: Cạo vôi bằng sóng siêu âm
Bác sĩ sử dụng đầu máy siêu âm với tần số rung phù hợp. Đầu rung di chuyển nhẹ nhàng quanh cổ răng, kẽ răng và dưới nướu để làm vỡ cấu trúc vôi răng mà không tác động lực mạnh lên men răng.
- Bước 4: Đánh bóng răng
Sử dụng chổi mềm và bột đánh bóng nha khoa để làm láng mịn bề mặt răng, giúp răng sáng bóng và hạn chế sự tái bám của vôi răng.
- Bước 5: Kiểm tra & Hướng dẫn
Bác sĩ kiểm tra lại toàn diện và hướng dẫn khách hàng cách vệ sinh răng miệng tại nhà đúng cách.

V. Cảnh báo rủi ro khi lựa chọn dịch vụ giá rẻ
Trong y tế, chất lượng điều trị luôn đi đôi với chi phí. Việc lựa chọn các dịch vụ cạo vôi răng với mức giá quá thấp thường tiềm ẩn nhiều rủi ro:
- Xâm lấn mô mềm: Bác sĩ thiếu kinh nghiệm thao tác mạnh tay gây tổn thương nướu, tụt lợi.
- Tổn thương men răng: Dụng cụ thô sơ làm xước bề mặt răng, khiến răng nhạy cảm và dễ ố vàng hơn sau khi làm.
- Sót vôi vùng sâu: Chỉ làm sạch phần vôi “nhìn thấy được” trên bề mặt, bỏ qua phần vôi dưới nướu, nguyên nhân chính gây viêm nha chu.
Dưới đây là bảng so sánh lợi ích để bạn đưa ra lựa chọn phù hợp:
| Yếu tố | Dịch vụ giá rẻ | Dịch vụ tiêu chuẩn |
|---|---|---|
| Chi phí | Thấp (thường < 100.000VNĐ hoặc miễn phí kèm dịch vụ khác) | Trung bình (200.000VNĐ – 500.000 VNĐ) |
| Công nghệ | Cạo vôi thủ công bằng dụng cụ kim loại cầm tay | Công nghệ siêu âm hiện đại |
| Cảm giác | Dễ gây ê buốt, chảy máu nhiều | Êm ái, ít chảy máu, dễ chịu |
| Đánh bóng | Có thể bỏ qua hoặc làm nhanh | Kỹ lưỡng, dùng đài cao su và bột đánh bóng chuyên dụng |
| Rủi ro | Xước men răng, sót vôi vùng sâu | Bảo vệ men răng tối đa, sạch sâu |
VI. Hướng dẫn chăm sóc sau cạo vôi răng để duy trì kết quả
Sau khi cạo vôi, men răng và nướu cần một khoảng thời gian ngắn để ổn định. Việc chăm sóc đúng cách trong giai đoạn này không chỉ giúp giảm cảm giác ê buốt (nếu có) mà còn ngăn chặn vôi răng tái bám nhanh chóng. Dưới đây là 3 nguyên tắc vàng bạn cần ghi nhớ:
1. Chế độ ăn uống trong 24 – 48 giờ đầu
Lúc này, bề mặt răng vừa được làm sạch nên rất “nhạy cảm” và dễ bị nhiễm màu trở lại. Bạn nên lưu ý tránh thực phẩm có màu đậm, tránh nhiệt độ quá nóng hoặc quá lạnh. Thay vào đó nêu ăn các loại thực phẩm giàu chất xơ (rau củ quả giòn như táo, cà rốt, súp lơ) giúp làm sạch răng tự nhiên và kích thích tiết nước bọt bảo vệ men răng.
2. Vệ sinh răng miệng đúng chuẩn
- Sử dụng bàn chải lông mềm, chải dọc hoặc xoay tròn để tránh làm mòn cổ chân răng và tổn thương nướu.
- Dùng chỉ nha khoa hoặc máy tăm nước làm sạch mảng bám ở những nơi bàn chải không tới được.
- Súc miệng bằng nước muối sinh lý giúp sát khuẩn, làm dịu nướu và giúp nướu săn chắc lại nhanh hơn sau khi cạo vôi.

3. Lịch tái khám định kỳ
Dù chải răng kỹ đến đâu, vẫn có những vị trí mà bàn chải không thể tiếp cận. Do đó, hãy tuân thủ lịch cạo vôi răng định kỳ:
- Mỗi 6 tháng/lần: Đối với người có men răng tốt, vệ sinh kỹ.
- Mỗi 3 – 4 tháng/lần: Đối với người hút thuốc lá, người niềng răng hoặc có cơ địa dễ tích tụ vôi răng.
VII. Tại sao nên cạo vôi răng tại Nha Khoa Đông Nam?
Giữa hàng ngàn lựa chọn, Nha Khoa Đông Nam tự tin là điểm đến tin cậy nhờ 4 ưu thế vượt trội, đảm bảo trải nghiệm êm ái và an toàn nhất cho khách hàng:
- Bề dày kinh nghiệm hơn 20 năm: Đội ngũ bác sĩ không chỉ giỏi chuyên môn mà còn giàu kinh nghiệm, thao tác chuẩn xác giúp kiểm soát lực tốt, đảm bảo quá trình thực hiện nhẹ nhàng và bảo tồn men răng tối đa.
- Công nghệ siêu âm thế hệ mới: Ứng dụng sóng siêu âm rung tần số cao giúp loại bỏ mảng bám, vôi răng một cách triệt để mà không gây xâm lấn nướu, giảm thiểu tình trạng ê buốt so với các phương pháp truyền thống.
- Quy trình vô trùng chuẩn Y khoa: Đông Nam tuân thủ nghiêm ngặt nguyên tắc “1 khách hàng – 1 bộ dụng cụ – 1 tay khoan riêng biệt” đã được tiệt trùng bằng quy trình khép kín, loại bỏ hoàn toàn nguy cơ lây nhiễm chéo.
- Minh bạch chi phí: Bảng giá dịch vụ được niêm yết công khai. Khách hàng luôn được tư vấn tổng chi phí trọn gói trước khi điều trị, cam kết không phát sinh bất kỳ khoản phụ thu nào.

VIII. Câu hỏi thường gặp
1. Cạo vôi răng có đau không?
Với công nghệ siêu âm, quá trình cạo vôi diễn ra rất nhẹ nhàng. Đối với những trường hợp nướu viêm nặng hoặc răng quá nhạy cảm, bác sĩ sẽ sử dụng thuốc tê dạng bôi để đảm bảo khách hàng hoàn toàn thoải mái.
2. Cạo vôi răng có làm mòn men răng không?
Hoàn toàn không. Đầu máy siêu âm được thiết kế đặc biệt chỉ tác động làm vỡ cấu trúc mảng bám vôi răng, không có khả năng làm mòn hay tổn hại đến mô men răng cứng chắc.
3. Bao lâu nên thực hiện một lần?
Theo khuyến cáo của Hiệp hội Nha khoa, bạn nên cạo vôi răng định kỳ 6 tháng/lần. Đối với người có men răng sần sùi, người hút thuốc lá hoặc đang niềng răng, thời gian có thể rút ngắn xuống 3 – 4 tháng/lần.
4. Cạo vôi răng có sử dụng BHYT được không?
Việc cạo vôi răng có được hưởng Bảo hiểm Y tế (BHYT) hay không phụ thuộc hoàn toàn vào mục đích thực hiện thủ thuật. BHYT sẽ chỉ chi trả khi việc cạo vôi là chỉ định bắt buộc từ bác sĩ để điều trị các bệnh lý răng miệng (như viêm nướu, viêm nha chu) tại các cơ sở y tế có đăng ký khám chữa bệnh BHYT. Ngược lại, nếu bạn tự nguyện đi cạo vôi định kỳ chỉ để vệ sinh làm sạch hoặc vì mục đích thẩm mỹ thì sẽ thuộc nhóm dịch vụ không được bảo hiểm hỗ trợ thanh toán.
5. Trẻ em có cần cạo vôi răng không?
Trẻ em cần cạo vôi răng nếu có sự tích tụ mảng bám, bởi các bé thường tiêu thụ nhiều đồ ngọt nhưng kỹ năng vệ sinh răng miệng lại chưa hoàn thiện. Lớp vôi răng nếu không được loại bỏ sẽ gây viêm nướu, hôi miệng và sâu răng, ảnh hưởng xấu đến cả răng sữa lẫn quá trình mọc răng vĩnh viễn.
Kiểm soát vôi răng định kỳ không chỉ đơn thuần là nhu cầu thẩm mỹ, mà là chỉ định y khoa thiết yếu để ngăn chặn sớm các biến chứng viêm nha chu và mất răng. Nha Khoa Đông Nam kiên định với nguyên tắc minh bạch chi phí và khắt khe trong quy trình vô trùng, nhằm mang đến cho Quý khách hàng sự an tâm tuyệt đối khi trải nghiệm dịch vụ. Nếu còn thắc mắc nào khác vui lòng liên hệ tổng đài 1900 7141 hoặc đến trực tiếp Nha Khoa Đông Nam để được bác sĩ thăm khám và tư vấn miễn phí.


Bài viết liên quan:
Dán Sứ Veneer: Hướng Dẫn Toàn Diện A – Z [Cập Nhật 2025]
Trồng răng Implant có nguy hiểm không? 4 yếu tố để an toàn tuyệt đối
Nhổ răng khôn mọc lệch: Quy trình, rủi ro và chi phí
Bảng giá bọc răng sứ 2025
Cầu răng sứ là gì? Giải pháp phục hình răng mất hiệu quả
Bọc răng sứ được bao lâu? Tuổi thọ, các yếu tố ảnh hưởng và cách chăm sóc để bền lâu