Răng thừa là tình trạng mọc thêm răng ngoài số lượng thông thường. Tình trạng này khá phổ biến ở cả trẻ em và người lớn chiếm tới 80% – 90% trường hợp răng thừa xuất hiện ở hàm trên, thường thấy nhất là vùng răng cửa. Đặc điểm của chúng là hình dáng kỳ lạ, dị dạng, kích thước nhỏ và không đảm nhận chức năng ăn nhai. Để biết được nguyên nhân và cách xử lý phù hợp cho tình trạng răng thừa, hãy cùng Nha Khoa Đông Nam tìm hiểu thông tin ngay sau đây.
I. Phân loại và dấu hiệu nhận biết răng thừa
Răng thừa (hay còn gọi là răng dư) là tình trạng mọc thêm một hoặc nhiều răng ngoài số lượng răng tiêu chuẩn trên cung hàm của một người.
Thông thường, bộ răng vĩnh viễn của người trưởng thành có 32 chiếc (hoặc 28 chiếc nếu không tính 4 răng khôn), còn bộ răng sữa ở trẻ em là 20 chiếc. Bất kỳ chiếc răng nào mọc thêm ngoài bộ răng tiêu chuẩn này đều được gọi là răng thừa.
Răng thừa có thể xuất hiện ở nhiều vị trí và hình dạng khác nhau. Việc phân loại và nhận biết sớm các dấu hiệu giúp can thiệp kịp thời, tránh các biến chứng.
1. Phân loại theo vị trí mọc
- Răng dư kẽ giữa: Là răng mọc chen vào đường giữa 2 răng cửa hàm trên.
- Răng thừa mọc ngầm: Răng bị kẹt hoàn toàn hoặc một phần trong xương hàm, không mọc lên khỏi nướu.
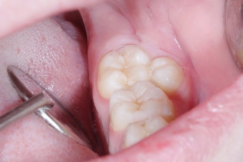
- Các dạng mọc thừa phổ biến khác: Răng khôn, răng khểnh, răng mọc lẫy, răng mọc thừa ở vùng răng hàm.

2. Dấu hiệu nhận biết
Có thể nhận thấy các dấu hiệu của răng thừa bằng mắt thường hoặc qua các triệu chứng mà trẻem hoặc người lớn gặp phải:
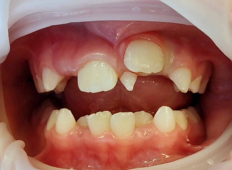
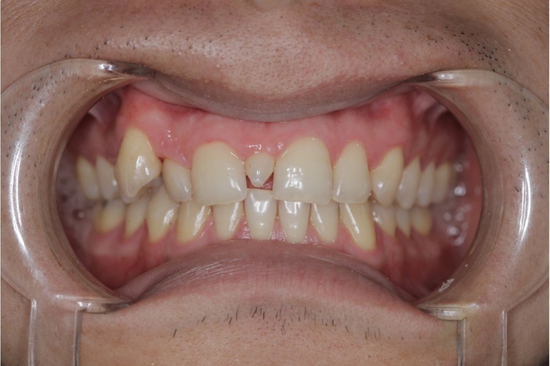
- Răng mọc không đúng vị trí: Đây là dấu hiệu dễ thấy nhất. Bạn có thể thấy một chiếc răng mọc chen vào giữa hai răng cửa (gọi là Mesiodens), mọc lệch hẳn ra ngoài hoặc vào trong cung hàm (răng khểnh, răng mọc lẫy).
- Hình dạng răng bất thường: Răng thừa thường có kích thước nhỏ hơn, dị dạng, có hình nón hoặc hình củ, không giống hình dạng của răng bình thường.
- Chậm mọc răng vĩnh viễn: Đây là dấu hiệu quan trọng ở trẻ em. Răng thừa đặc biệt là răng ngầm có thể cản đường, khiến răng vĩnh viễn (nhất là răng cửa) mọc lên rất muộn hoặc không mọc được.
- Răng sữa rụng muộn: Tương tự, răng thừa có thể kẹt giữ răng sữa, làm răng sữa không rụng theo đúng lịch trình.
- Răng mọc chen chúc, xô lệch: Sự xuất hiện của răng thừa chiếm mất không gian, khiến các răng vĩnh viễn khác không đủ chỗ, dẫn đến mọc chen chúc, xoay trục.
- Khe thưa lớn bất thường: Đôi khi, một răng thừa mọc ngầm giữa hai răng cửa có thể đẩy chân răng của chúng ra xa nhau, tạo ra một khe thưa lớn.
3. Chẩn đoán
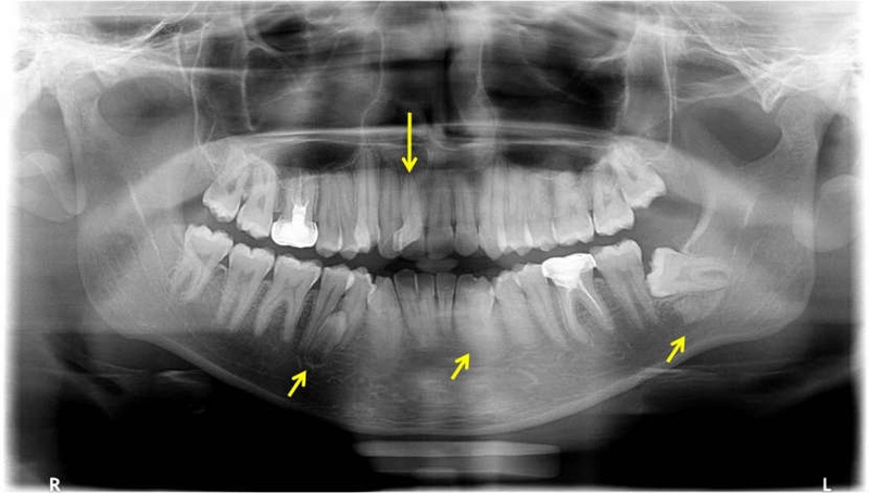
Vì rất nhiều răng thừa không thể nhìn thấy bằng mắt thường, các phương pháp chẩn đoán hình ảnh là công cụ bắt buộc và quan trọng nhất để xác định:
Bác sĩ sẽ kiểm tra trực tiếp trên miệng để đếm số lượng răng, tìm các dấu hiệu bất thường như răng mọc chen chúc, lệch lạc, hoặc phát hiện các răng có hình dạng kỳ lạ.
Chụp X-quang 2D: Sử dụng phim toàn cảnh (Panorama) hoặc Cận chóp. Phương pháp này giúp phát hiện sự tồn tại của răng thừa, đặc biệt là các răng mọc ngầm trong xương hàm.
Chụp CT Cone Beam: Đây là “tiêu chuẩn vàng” cho các ca phức tạp. Phim 3D giúp bác sĩ thấy rõ vị trí răng thừa theo cả 3 chiều, mối liên hệ của nó với chân răng bên cạnh và dây thần kinh, từ đó lên kế hoạch điều trị an toàn nhất.

II. Nguyên nhân răng thừa
Nguyên nhân răng thừa hiện vẫn chưa được xác định rõ ràng. Tuy nhiên, các nghiên cứu chỉ ra sự liên quan đến một số yếu tố di truyền và rối loạn phát triển. Cụ thể:
1. Yếu tố di truyền
AND của bố mẹ hoặc ông bà có mối liên hệ mật thiết với tình trạng răng của trẻ. Nếu người thân có răng mọc thừa, khả năng cao trẻ cũng sẽ mắc phải.
2. Rối loạn phát triển mầm răng
Răng thừa là kết quả của sự phát triển quá mức hoặc mầm răng phân đôi tạo ra mầm răng bổ sung và phát triển thành răng thừa.

3. Các hội chứng và dị tật bẩm sinh
Răng thừa có thể là một phần của các rối loạn phát triển, các rối loạn này bao gồm: Sứt môi, hở hàm ếch, rối loạn phát triển xương đòn sọ.
III. Mức độ nguy hiểm và tác hại
Mặc dù không phải lúc nào cũng gây nguy hiểm ngay lập tức, tác hại răng thừa có thể rất nghiêm trọng nếu không được can thiệp.
1. Ảnh hưởng đến cấu trúc hàm và thẩm mỹ
- Mất thẩm mỹ: Răng dư làm hàm răng chen chúc, gây mất cân đối và giảm sự tự tin khi cười.
- Sai khớp cắn và lệch hàm: Răng thừa chèn ép, lấn chiếm vị trí răng chính. Điều này làm thay đổi cấu trúc khuôn hàm, dẫn đến nguy cơ sai khớp cắn, lệch hàm.
- Chậm mọc răng: Răng thừa là nguyên nhân phổ biến nhất gây chậm mọc hoặc mọc lệch lạc của răng vĩnh viễn. Tình trạng này đặc biệt hay gặp ở răng cửa hàm trên/ dưới của trẻ em.

2. Biến chứng bệnh lý răng miệng
- Gia tăng nguy cơ nhiễm trùng: Răng thừa tạo khe rãnh, làm thức ăn dễ giắt và khó vệ sinh. Đây là môi trường thuận lợi cho vi khuẩn phát triển dẫn đến sâu răng, viêm nướu, viêm nha chu và hôi miệng.
- Hình thành nang: Răng thừa mọc ngầm có thể dẫn đến hình thành nang quanh thân răng.
- Tiêu chân răng và chèn ép thần kinh: Nang hoặc chính chiếc răng thừa có thể gây áp lực lên răng kế cận làm tiêu chân răng hoặc chèn ép hệ thống dây thần kinh.
IV. Khi nào nên nhổ răng thừa
Quyết định nhổ răng thừa phụ thuộc vào đánh giá của bác sĩ dựa trên vị trí, ảnh hưởng của nó đến các răng khác và sức khỏe tổng thể của bệnh nhân. Cụ thể:
1. Trường hợp bắt buộc nhổ
- Răng thừa mọc lệch lạc, không có chức năng, gây mất thẩm mỹ.
- Răng thừa tạo thế 3 chân hoặc khe hở lớn. Tình trạng này gây tích tụ mảng bám và phát sinh bệnh lý răng miệng nghiêm trọng.
- Răng thừa mọc chèn ép răng vĩnh viễn hoặc mọc ngầm gây nang, u xương hàm, chèn ép thần kinh.
- Nhổ răng thừa để hỗ trợ quá trình chỉnh nha tạo khoảng trống cho răng khác dịch chuyển.

2. Trường hợp không cần nhổ
Nếu răng thừa mọc ổn định, không gây ảnh hưởng đến thẩm mỹ, chức năng ăn nhai hoặc sức khỏe răng miệng, có thể được bảo tồn.
V. Phương pháp điều trị và khắc phục tình trạng răng thừa
Sau khi chẩn đoán, bác sĩ sẽ đưa ra kế hoạch điều trị phù hợp. Có thể chỉ định kết hợp điều trị nhiều phương pháp nha khoa. Bao gồm:
1. Nhổ răng
Nhổ răng thường được chỉ định loại bỏ răng thừa, việc sử dụng máy siêu âm Piezotome sẽ giúp giảm thiểu xâm lấn, tổn thương mô mềm, giúp quá trình nhổ nhẹ nhàng và nhanh phục hồi hơn.
Nhổ răng thừa không gây nguy hiểm ảnh hưởng tới hệ thần kinh trung ương dây thần kinh. Lý do là chúng nằm sâu dưới xương hàm và kết cấu tổ chức răng vững chắc.

2. Chỉnh nha niềng răng
Phương pháp này được chỉ định sau khi nhổ răng thừa để đóng khoảng trống. Nó cũng giúp điều chỉnh răng bị xô lệch, sai khớp cắn và đảm bảo thẩm mỹ. Thường áp dụng cho giai đoạn tiền chỉnh nha ở trẻ 6 – 11 tuổi để hướng dẫn răng mọc đúng hướng và hạn chế sự phát triển quá mức của xương hàm.

3. Hỗ trợ mọc răng
Phẫu thuật loại bỏ răng thừa kết hợp với chỉnh nha kéo răng đối với răng cửa ngầm. Mục đích là thúc đẩy răng vĩnh viễn mọc lên đúng vị trí.
VI. Câu hỏi thường gặp
1. Nhổ răng thừa có đau không?
Nhờ việc tiêm thuốc tê cục bộ, bệnh nhân hoàn toàn không cảm thấy đau nhức trong suốt quá trình nhổ răng. Cơn đau nhẹ, âm ỉ có thể xuất hiện 1 giờ sau khi hết thuốc tê. Cảm giác này có thể kéo dài 1 – 2 ngày và được kiểm soát bằng thuốc giảm đau theo chỉ định.
2. Nhổ răng thừa thường mất bao lâu?
Nếu chỉ là nhổ răng đơn giản, quá trình này thường diễn ra trong khoảng 10 – 20 phút. Thời gian này đã bao gồm cả thời gian gây tê.
3. Có cần niềng răng sau khi nhổ răng thừa không?
Không phải tất cả các trường hợp đều cần niềng răng, tùy thuộc vào khe thừa sau khi nhổ hoặc hướng mọc của các răng kế cận và tình trạng khớp cắn có cần điều chỉnh hay không.
5. Răng thừa có phải là dấu hiệu của sự giàu sang?
Quan niệm dân gian cho rằng răng mọc thừa là biểu hiện của sự giàu sang. Tuy nhiên, điều này không có cơ sở khoa học. Chúng ta không nên dựa vào đó để quyết định giữ hay nhổ răng.
Răng thừa là một bất thường phổ biến có thể gây ra nhiều biến chứng nghiêm trọng. Các biến chứng bao gồm từ mất thẩm mỹ, sai khớp cắn đến các bệnh lý răng miệng và nang xương hàm.
Khi có dấu hiệu bất thường, cần thăm khám nha khoa sớm để bác sĩ có giải pháp phù hợp. Nếu còn thắc mắc nào khác, vui lòng liên hệ tổng đài 1900 7141 hoặc đến trực tiếp Nha Khoa Đông Nam để bác sĩ thăm khám và tư vấn miễn phí.Xem thêm nhổ răng:


Bài viết liên quan:
Dán Sứ Veneer: Hướng Dẫn Toàn Diện A – Z [Cập Nhật 2025]
Trồng răng Implant có nguy hiểm không? 4 yếu tố để an toàn tuyệt đối
Nhổ răng khôn mọc lệch: Quy trình, rủi ro và chi phí
Bảng giá bọc răng sứ 2025
Cầu răng sứ là gì? Giải pháp phục hình răng mất hiệu quả
Bọc răng sứ được bao lâu? Tuổi thọ, các yếu tố ảnh hưởng và cách chăm sóc để bền lâu