Tình trạng răng bị gãy, vỡ chỉ còn lại chân răng là một tổn thương nghiêm trọng, không chỉ gây mất thẩm mỹ mà còn ảnh hưởng trực tiếp đến chức năng ăn nhai và tiềm ẩn nhiều biến chứng nguy hiểm. Bài viết này sẽ đi sâu làm rõ các nguyên nhân, cảnh báo về những tác hại khôn lường và đưa ra các giải pháp phục hồi răng gãy chỉ còn chân răng tối ưu nhất, giúp bạn có cái nhìn toàn diện và hướng xử lý kịp thời.
I. Thế nào là răng gãy chỉ còn chân răng?
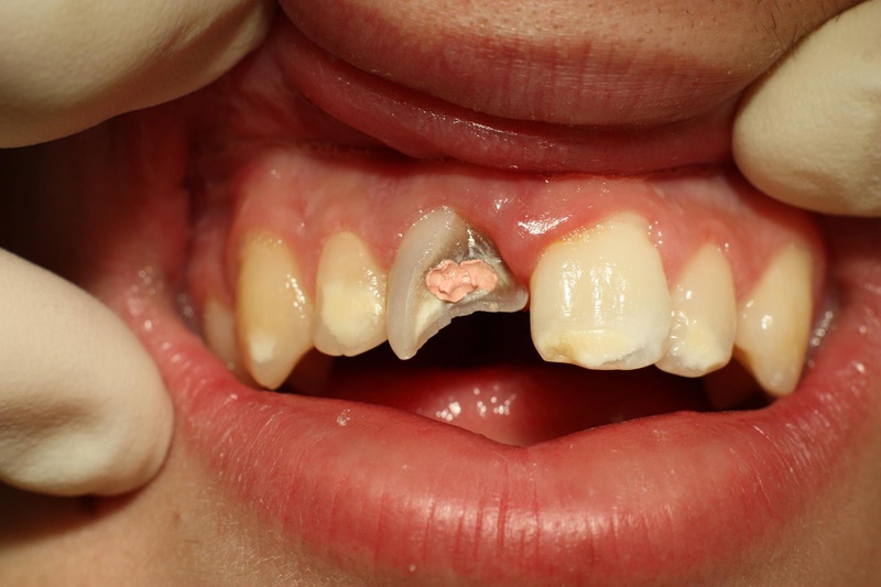
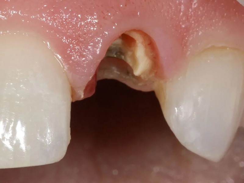
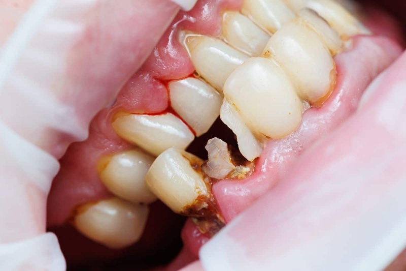
Tình trạng răng gãy chỉ còn chân răng là mức độ tổn thương nặng nhất, khi toàn bộ cấu trúc thân răng đã bị phá hủy hoàn toàn do bệnh lý hoặc chấn thương. Lúc này, chỉ còn lại phần chân răng nằm sâu bên trong xương hàm, làm mất đi chức năng và thẩm mỹ vốn có của răng.

II. Nguyên nhân phổ biến dẫn đến tình trạng răng gãy còn chân
Có nhiều nguyên nhân dẫn đến tình trạng gãy răng còn chân, nhưng phổ biến nhất bao gồm các yếu tố bệnh lý và tác động cơ học từ bên ngoài. Cụ thể:
1. Do sâu răng nặng không được điều trị
Vi khuẩn trong khoang miệng chuyển hóa đường từ thức ăn thành axit, tấn công và làm mòn men răng, tạo ra các lỗ sâu nhỏ. Nếu không được trám sớm, vi khuẩn sẽ xâm nhập sâu hơn vào lớp ngà răng mềm hơn, phá hủy cấu trúc răng từ bên trong. Thân răng trở nên rỗng, yếu ớt và dễ dàng vỡ vụn khi chịu lực ăn nhai, cuối cùng chỉ còn lại phần chân răng sâu.

2. Do tai nạn hoặc chấn thương mạnh
Các va đập mạnh và đột ngột do tai nạn giao thông, té ngã, chấn thương khi chơi thể thao có thể tạo ra một lực lớn tác động lên răng. Lực này có thể làm gãy ngang thân răng, đặc biệt là các răng cửa vốn mỏng manh hơn.
3. Do mòn cổ chân răng bệnh lý
Đây là hiện tượng mất chất ở vùng cổ răng, làm suy yếu điểm nối giữa thân và chân răng. Nguyên nhân có thể do thói quen chải răng quá mạnh theo chiều ngang, sử dụng bàn chải lông cứng làm mòn men răng. Ngoài ra, việc tiêu thụ nhiều thực phẩm, đồ uống có tính axit cao cũng gây ra xói mòn hóa học, làm răng yếu đi và dễ gãy khi có tác động nhẹ.
III. Những biến chứng nguy hiểm nếu không điều trị kịp thời
Việc chủ quan trì hoãn điều trị một chân răng hư hỏng không chỉ gây khó chịu tại chỗ mà còn là khởi nguồn của nhiều vấn đề sức khỏe nghiêm trọng khác. Cụ thể:
- Suy giảm hoặc mất hoàn toàn chức năng ăn nhai
Mất đi thân răng đồng nghĩa với việc mất đi bề mặt tiếp xúc để nghiền nát thức ăn. Việc ăn nhai trở nên khó khăn, thức ăn không được làm nhỏ đúng cách trước khi xuống dạ dày, gây áp lực lên hệ tiêu hóa và tiềm ẩn nguy cơ mắc các bệnh lý liên quan.
- Gây hôi miệng mãn tính
Phần răng vỡ còn chân răng tạo thành một hốc lõm lý tưởng cho vụn thức ăn và mảng bám vi khuẩn tích tụ. Vị trí này rất khó để làm sạch bằng bàn chải thông thường. Vi khuẩn phân hủy thức ăn sẽ tạo ra các hợp chất lưu huỳnh dễ bay hơi, gây ra tình trạng hôi miệng dai dẳng và khó chịu.
- Viêm tủy, áp xe răng và nhiễm trùng vùng chóp
Đây là biến chứng nguy hiểm nhất, diễn tiến qua các giai đoạn từ viêm tủy không điều trị dẫn đến chết tủy và cuối cùng là biến chứng áp xe chân răng.

- Ảnh hưởng xấu đến các răng xung quanh
Ổ viêm nhiễm vùng chóp có thể lan sang chân răng kế cận, gây sâu răng hoặc viêm nha chu cho các răng vốn đang khỏe mạnh. Đồng thời, khoảng trống mất răng khiến các răng bên cạnh và răng đối diện có xu hướng xô lệch, trồi lên hoặc đổ nghiêng, gây ra tình trạng rối loạn khớp cắn nghiêm trọng.
- Phá hủy xương hàm và gây tiêu xương
Nhiễm trùng kéo dài sẽ phá hủy cấu trúc xương ổ răng xung quanh chân răng. Đặc biệt, sau khi mất răng còn chân răng và phải nhổ bỏ, nếu không phục hình kịp thời, xương hàm tại vị trí đó sẽ bắt đầu quá trình tiêu xương hàm do không còn lực ăn nhai kích thích, gây hóp má, biến dạng khuôn mặt.
IV. Các giải pháp phục hồi răng gãy còn chân răng tối ưu
Nguyên tắc vàng trong nha khoa hiện đại là luôn ưu tiên bảo tồn tối đa mô răng thật. Nên bác sĩ sẽ dựa trên kết quả thăm khám và phim X-quang, đánh giá chi tiết tình trạng chân răng, mô nướu và xương hàm để đưa ra kế hoạch điều trị phù hợp nhất. Cụ thể:
1. Trường hợp chân răng còn tốt, đủ điều kiện bảo tồn
a. Trám răng thẩm mỹ
Trong quy trình thực hiện, bác sĩ sẽ làm sạch bề mặt răng, sau đó sử dụng vật liệu Composite có màu sắc tương đồng với răng thật để đắp và tái tạo lại phần thân răng bị mất.
Áp dụng: Phương pháp này được áp dụng khi mô răng thật còn lại nhiều, >1/2 cấu trúc chân răng và không có dấu hiệu viêm nhiễm.

Ưu điểm:
- Thực hiện nhanh chóng
- Thẩm mỹ cao
- Chi phí thấp
Nhược điểm:
- Độ bền không cao
- Dễ bị nhiễm màu
- Chỉ phù hợp với các răng ít chịu lực
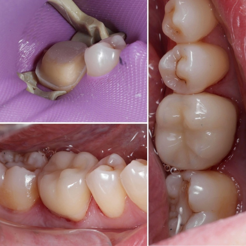
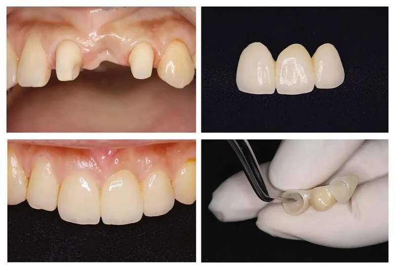
b. Bọc răng sứ thẩm mỹ
Áp dụng: Đây là giải pháp tối ưu khi mô răng thật còn lại quá ít nhưng chân răng vẫn còn chắc khỏe khoảng 1/3 – 1/2 răng.
Quy trình phục hình răng sứ trên chân răng còn tốt bao gồm các bước chi tiết sau: Mài cùi răng thật, lấy dấu chế tác mão sứ và phục hình răng hoàn tất. Nếu răng bị viêm tủy, bác sĩ sẽ tiến hành chữa tủy sau đó tiến hành quy trình bọc răng sứ.

Ưu điểm:
- Răng sứ trắng, đẹp
- Chịu lực tốt
- Tuổi thọ răng sứ lâu dài
2. Trường hợp chân răng quá yếu, viêm nhiễm nặng, bắt buộc phải nhổ bỏ
a. Cầu răng sứ
Giải pháp này thường được chỉ định cho trường hợp mất một hoặc vài răng xen kẽ, với điều kiện hai răng kế cận khoảng mất răng còn khỏe mạnh để làm trụ đỡ.
Quy trình thực hiện bắt đầu bằng việc nhổ chân răng bị hỏng. Sau khi lành thương, bác sĩ sẽ mài nhỏ hai răng thật khỏe mạnh ở hai bên để làm trụ, sau đó gắn một dải gồm 3 mão sứ dính liền nhau lên trên.

Ưu điểm:
- Chi phí hợp lý
- Thời gian điều trị nhanh chóng
Nhược điểm:
- Mài các răng thật khỏe mạnh
- Không ngăn được tình trạng tiêu xương hàm
b. Cấy ghép Implant
Đây được xem là giải pháp phục hình răng tối ưu và toàn diện nhất cho mọi trường hợp mất răng. Bác sĩ sẽ đặt trụ Implant làm bằng Titanium vào xương hàm của bệnh nhân để thay thế cho chân răng thật. Sau đó gắn cố định răng sứ lên trên thông qua khớp nối Abutment.

Ưu điểm:
- Khôi phục chức năng ăn nhai gần như răng thật
- Đạt thẩm mỹ hoàn hảo
- Không xâm lấn răng kế cận
- Ngăn ngừa triệt để tình trạng tiêu xương hàm
- Độ bền của răng Implant có thể kéo dài trọn đời nếu được chăm sóc tốt
Nhược điểm:
- Chi phí cao
- Đòi hỏi tay nghề bác sĩ điều trị chuyên môn
V. Câu hỏi thường gặp
1. Răng khôn bị sâu vỡ chỉ còn chân răng thì xử lý thế nào?
Đối với răng khôn (răng số 8), chỉ định ưu tiên gần như luôn là nhổ bỏ thay vì điều trị bảo tồn. Răng khôn không giữ chức năng ăn nhai quan trọng và thường gây ra nhiều biến chứng. Việc nhổ bỏ sẽ giúp giải quyết triệt để vấn đề viêm nhiễm và ngăn ngừa các rủi ro trong tương lai.
2. Răng sữa của trẻ sâu vỡ chỉ còn chân răng có nguy hiểm không?
Đây là một tình trạng nguy hiểm. Chân răng sữa bị sâu có thể gây đau đớn, hình thành áp xe, viêm nhiễm lan rộng và ảnh hưởng xấu đến mầm răng vĩnh viễn bên dưới. Phụ huynh cần đưa trẻ đến nha khoa để bác sĩ thăm khám và chỉ định nhổ bỏ chân răng hỏng kịp thời để bảo vệ sức khỏe cho trẻ.
3. Bệnh viêm nướu có mủ có liên quan đến tình trạng răng gãy còn chân không?
Có mối liên quan mật thiết. Chân răng bị vỡ là một ổ vi khuẩn, có thể gây viêm nhiễm lan rộng và hình thành túi mủ ở nướu (áp xe chân răng). Ngược lại, bệnh nha chu nặng không được điều trị cũng làm răng yếu đi, lung lay và dễ bị gãy vỡ.
4. Gãy chân răng có mọc lại không?
Răng vĩnh viễn của người trưởng thành không có khả năng tự tái tạo hay mọc lại sau khi đã bị gãy. Phần chân răng bị gãy sẽ vẫn nằm lại trong xương hàm và cần được bác sĩ nha khoa xử lý để tránh viêm nhiễm và các biến chứng nguy hiểm khác.
Răng gãy còn chân răng là một tình trạng bệnh lý nghiêm trọng, tuyệt đối không nên chủ quan vì có thể dẫn đến nhiều biến chứng nguy hiểm cho sức khỏe toàn thân. Việc thăm khám sớm tại các cơ sở nha khoa uy tín là vô cùng quan trọng để được chẩn đoán chính xác và đưa ra phương án điều trị phù hợp.
Hy vọng thông tin về răng gãy còn chân có sao không ở trên đây của chúng tôi đã gửi đến bạn thật nhiều thông tin hữu ích. Để được tư vấn chuyên sâu quý khách hàng có thể liên hệ qua hệ thống tổng đài 1900 7141 hoặc đến trực tiếp Nha khoa Đông Nam để được các bác sĩ thăm khám và tư vấn miễn phí.


Bài viết liên quan:
Tổng quan về đường cười và những tiêu chí cần biết
Chi phí cạo vôi răng 2026: Bảng giá niêm yết và quy trình chuẩn Y khoa
Dán Sứ Veneer: Hướng Dẫn Toàn Diện A – Z [Cập Nhật 2026]
Trồng răng Implant có nguy hiểm không? 4 yếu tố để an toàn tuyệt đối
Nhổ răng khôn mọc lệch: Quy trình, rủi ro và chi phí
Bảng giá bọc răng sứ 2026