Gãy răng hàm là một sự cố nha khoa phổ biến, gây ra không ít hoang mang và lo lắng. Câu hỏi gãy răng hàm có sao không không chỉ đơn thuần là về cơn đau trước mắt, mà còn là nỗi bận tâm về những hệ lụy lâu dài đối với sức khỏe. Bài viết này, Nha Khoa Đông Nam sẽ phân tích chi tiết vai trò của răng hàm, các nguyên nhân gây gãy vỡ ảnh hưởng nghiêm trọng đã được chứng minh và cập nhật các phương pháp phục hình răng hàm bị gãy tiên tiến, an toàn nhất hiện nay. Hãy cùng tìm hiểu ngay sau đây!
I. Răng hàm là gì? Vị trí và vai trò không thể thay thế
Răng hàm còn gọi là răng cối là nhóm răng lớn nhất, nằm ở vị trí trong cùng của cung hàm. Chúng có vai trò không chỉ đơn thuần dùng để ăn nhai mà còn duy trì cấu trúc gương mặt và hỗ trợ phát âm. Răng hàm thường được chia thành hai nhóm nhỏ:
- Răng hàm nhỏ (răng tiền hàm): Bao gồm răng số 4 và số 5. Các răng này có chức năng hỗ trợ xé và nghiền nát thức ăn từ các răng cửa và răng nanh chuyển vào.
- Răng hàm lớn: Bao gồm răng số 6, số 7 và răng số 8 (răng khôn). Đây là những răng chịu lực nhai chính, có bề mặt rộng và nhiều múi rãnh phức tạp, chuyên dụng để nghiền nát thức ăn thành các mảnh nhỏ trước khi nuốt.

II. Nguyên nhân phổ biến gây gãy răng hàm
Tình trạng gãy răng hàm có thể xuất phát từ nhiều yếu tố khác nhau, cụ thể:
- Do tác động ngoại lực
Đây là nhóm nguyên nhân cấp tính, xảy ra đột ngột đến từ các tai nạn giao thông, chấn thương khi chơi thể thao (bóng đá, boxing), té ngã làm va đập mạnh vùng mặt trực tiếp là nguyên nhân hàng đầu gây vỡ, gãy răng.
- Do thói quen xấu
Các hành vi lặp đi lặp lại hàng ngày có thể gây ra những tổn thương vi mô trên răng. Theo thời gian, làm răng yếu đi, chẳng hạn như thói quen dùng răng mở nắp chai, cắn vật cứng hoặc tật nghiến răng khi ngủ gây mòn men răng nghiêm trọng.

- Do bệnh lý răng miệng
Sâu răng là “kẻ thù thầm lặng” phá hủy cấu trúc răng từ bên trong. Khi lỗ sâu lan rộng, răng trở nên rỗng và yếu, rất dễ bị vỡ khi chịu lực nhai bình thường. Tương tự, viêm tủy hay viêm nha chu cũng làm suy yếu sự liên kết giữa răng và xương hàm.
- Do chế độ dinh dưỡng
Việc thiếu hụt canxi, vitamin D, và flour trong chế độ ăn uống hàng ngày ảnh hưởng trực tiếp đến độ cứng chắc của men răng. Ngược lại, việc tiêu thụ quá nhiều thực phẩm chứa đường và axit (nước ngọt có gas, đồ ăn vặt) sẽ đẩy nhanh quá trình hủy khoáng, làm mòn men răng.
- Các nguyên nhân khác
Tuổi tác làm răng bị lão hóa, trở nên giòn hơn. Sự thay đổi hormone trong các giai đoạn đặc biệt như mang thai có thể làm tăng nguy cơ viêm nướu, ảnh hưởng đến sức khỏe răng. Các bệnh lý toàn thân như tiểu đường, loãng xương cũng có tác động tiêu cực gián tiếp đến độ bền của răng.
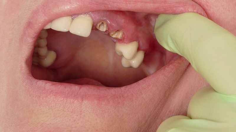
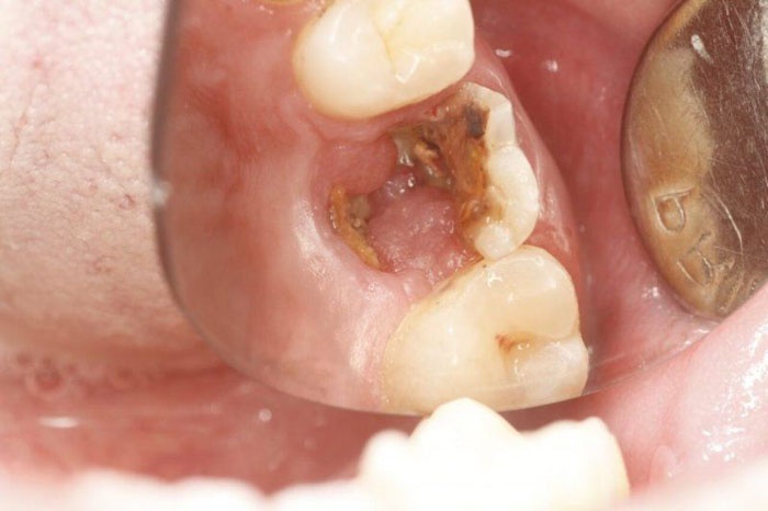
III. Gãy răng hàm có sao không? 7 ảnh hưởng nghiêm trọng cần biết
Nếu không được điều trị kịp thời, một chiếc răng hàm bị gãy có thể gây ra hàng loạt biến chứng nguy hiểm ảnh hưởng sức khỏe tổng thể. Bao gồm:
1. Gây đau nhức, ê buốt và khó chịu
Khi men răng bị vỡ, lớp ngà răng chứa các ống thần kinh nhỏ li ti sẽ bị lộ ra. Các kích thích từ nhiệt độ hoặc vị chua ngọt sẽ trực tiếp tác động vào các đầu dây thần kinh này, gây ra những cơn ê buốt cấp tính và dữ dội.
2. Suy giảm chức năng ăn nhai, ảnh hưởng hệ tiêu hóa
Việc mất đi một hoặc nhiều răng hàm làm giảm đáng kể hiệu quả nghiền nát thức ăn. Điều này sẽ tạo áp lực lớn lên dạ dày và hệ tiêu hóa gây khó tiêu và làm giảm khả năng hấp thụ chất dinh dưỡng của cơ thể.
3. Tăng nguy cơ mắc các bệnh lý răng miệng khác
Các vết nứt, gãy trên bề mặt răng tạo thành những khe rãnh mà bàn chải thông thường khó làm sạch. Đây là môi trường lý tưởng để mảng bám vi khuẩn tích tụ, từ đó làm tăng nguy cơ sâu răng ở chính chiếc răng bị gãy và các răng khỏe mạnh kế cận, đồng thời gây viêm nướu, viêm nha chu.

4. Nguy cơ viêm nhiễm, hoại tử tủy và mất răng vĩnh viễn
Khi vi khuẩn từ mảng bám sẽ xâm nhập vào buồng tủy thông qua đường nứt gãy, gây ra tình trạng viêm tủy răng. Ban đầu, cơn đau có thể tự hết, nhưng sau đó sẽ chuyển sang giai đoạn viêm tủy không hồi phục, hoại tử tủy. Nếu không được điều trị, nhiễm trùng sẽ lan xuống chóp chân răng, gây áp xe, phá hủy xương hàm và cuối cùng dẫn đến việc phải nhổ bỏ, gây mất răng vĩnh viễn.
5. Ảnh hưởng đến khớp thái dương hàm
Khi bị gãy răng ở một bên, người bệnh thường có xu hướng chỉ nhai ở bên hàm còn lại. Thói quen nhai lệch này làm mất cân bằng lực tác động lên hệ thống cơ và khớp, đặc biệt là khớp thái dương hàm. Về lâu dài, điều này có thể gây ra rối loạn khớp thái dương hàm với các triệu chứng như đau mỏi cơ hàm, đau đầu, phát ra tiếng kêu lục cục khi ăn nhai.
6. Gây mất thẩm mỹ và biến đổi cấu trúc khuôn mặt
Nếu răng hàm bị gãy nặng và phải nhổ bỏ, quá trình tiêu xương hàm sẽ bắt đầu diễn ra. Xương hàm ở vị trí mất răng không còn nhận được kích thích từ lực nhai sẽ dần tiêu biến. Điều này làm cho phần má tương ứng bị hóp vào, da mặt chảy xệ, tạo ra nếp nhăn và khiến khuôn mặt trông già hơn tuổi thật một cách rõ rệt.
7. Ảnh hưởng đến sức khỏe tổng thể và tinh thần
Tác động của việc mất răng hàm đến sức khỏe tổng thể đã được nhiều nghiên cứu chứng minh. Các ổ nhiễm trùng mãn tính ở răng có thể trở thành nguồn lây lan vi khuẩn vào máu, làm tăng nguy cơ mắc các bệnh về tim mạch, tiểu đường. Hơn nữa, những cơn đau kéo dài và sự bất tiện trong ăn uống, giao tiếp làm suy giảm sức khỏe, gây căng thẳng và làm mất tự tin.
IV. Các phương pháp khắc phục răng hàm bị gãy hiệu quả tại nha khoa
Y học nha khoa hiện đại mang đến nhiều cách khắc phục gãy răng hàm hiệu quả. Dựa trên kết quả thăm khám và chụp phim X- quang, bác sĩ sẽ đưa ra giải pháp phù hợp nhất với tình trạng thực tế. Cụ thể:
1. Trám răng thẩm mỹ
Giải pháp áp dụng cho các trường hợp gãy, mẻ ở mức độ nhẹ, khi cấu trúc răng còn lại vẫn đủ vững chắc và vết gãy chưa ảnh hưởng đến tủy.
Bác sĩ sẽ làm sạch bề mặt răng bị tổn thương, sau đó dùng loại vật liệu chuyên dụng là Composite có màu sắc tương đồng với răng thật, đắp từng lớp để tái tạo lại hình dáng ban đầu của răng, sau đó được chiếu đèn quang trùng hợp để đông cứng lại. Cuối cùng, miếng trám sẽ được đánh bóng để đảm bảo thẩm mỹ và chức năng ăn nhai.

2. Bọc răng sứ
Giải pháp phù hợp cho các trường hợp răng bị vỡ lớn, mất hơn một nửa thân răng, hoặc răng đã điều trị tủy cần được bảo vệ. Điều kiện cần thiết là chân răng phải còn chắc khỏe.
Quá trình này thường cần 2 buổi hẹn. Buổi đầu tiên, bác sĩ sẽ mài một lớp mỏng xung quanh thân răng để tạo cùi răng, sau đó lấy dấu hàm để gửi đến phòng labo chế tác mão sứ. Bạn sẽ được gắn răng tạm để đảm bảo thẩm mỹ và ăn nhai, ở buổi hẹn thứ hai, mão răng sứ hoàn chỉnh sẽ được thử và gắn cố định lên cùi răng bằng vật liệu dán dính chuyên dụng.

3. Cấy ghép Implant
Đây là giải pháp toàn diện và được ưu tiên hàng đầu cho các trường hợp răng bị gãy quá nặng không thể giữ lại, gãy chân răng hàm, hoặc răng đã mất từ lâu.
Bác sĩ sẽ đặt một trụ Implant làm từ Titanium vào trong xương hàm để thay thế cho chân răng đã mất. Sau một thời gian trụ Implant tích hợp vững chắc vào xương, một khớp nối Abutment và mão răng sứ sẽ được gắn lên trên để hoàn tất quá trình phục hình. Ưu điểm cấy ghép implant răng hàm là khả năng phục hồi chức năng nhai đến 99% và ngăn chặn hoàn toàn hiện tượng tiêu xương hàm.

V. Biện pháp phòng ngừa gãy răng hàm hiệu quả
Việc chủ động bảo vệ sức khỏe răng miệng sẽ giúp bạn tiết kiệm thời gian, chi phí và tránh được những cơn đau không đáng có. Bạn cần lưu ý các biện pháp phòng ngừa sau đây:
- Tránh các hành động dùng răng sai mục đích như mở nắp chai, cắn bút, xé bao bì. Sử dụng máng bảo hộ răng khi tham gia các môn thể thao đối kháng hoặc có nguy cơ va chạm cao.
- Hạn chế ăn các thực phẩm quá cứng, quá dai có thể gây quá tải lực lên răng.
- Điều trị triệt để các bệnh lý như sâu răng, viêm nướu ngay từ giai đoạn sớm.
- Duy trì thói quen vệ sinh răng miệng đúng cách: Chải răng 2 lần/ngày, sử dụng chỉ nha khoa và nước súc miệng.
- Thực hiện khám răng định kỳ 6 tháng/ lần tại các địa chỉ nha khoa uy tín để cạo vôi răng, kiểm tra và phát hiện sớm các vấn đề tiềm ẩn.

VI. Câu hỏi thường gặp
1. Gãy răng hàm vĩnh viễn có mọc lại không?
Câu trả lời là KHÔNG. Răng vĩnh viễn một khi đã gãy sẽ không thể tự mọc lại được. Do đó, cần có sự can thiệp các phương pháp điều trị nha khoa để phục hình.
2. Gãy răng và mất răng có giống nhau không?
Câu trả lời là KHÔNG. Gãy răng là khi thân răng bị gãy nhưng chân răng có thể vẫn còn trong xương hàm. Mất răng là tình trạng mất cả thân răng và chân răng.
3. Gãy răng cấm có ảnh hưởng gì không?
Có, ảnh hưởng rất nghiêm trọng. Răng cấm là răng giữ vai trò chính trong việc ăn nhai, việc gãy răng này không chỉ gây khó khăn khi ăn uống mà còn ảnh hưởng nghiêm trọng đến xương hàm và các răng lân cận.
Qua những phân tích chi tiết trên, có thể khẳng định rằng việc trả lời cho câu hỏi gãy răng hàm có sao không là CÓ, đây là một tình trạng nha khoa nghiêm trọng, tiềm ẩn nhiều biến chứng khôn lường.
Sự chậm trễ trong việc điều trị không chỉ gây đau đớn mà còn có thể dẫn đến mất răng vĩnh viễn, tiêu xương hàm và ảnh hưởng đến sức khỏe toàn thân. Do đó, ngay khi phát hiện răng hàm có dấu hiệu nứt, gãy, hãy nhanh chóng tìm đến các cơ sở nha khoa uy tín để được bác sĩ thăm khám và tư vấn phương pháp điều trị kịp thời, bảo vệ nụ cười và sức khỏe của bạn.
Nếu còn những thắc mắc cần được hỗ trợ bạn có thể đặt lịch hẹn thăm khám và tư vấn qua hệ tổng đài 1900 7141 hoặc đến trực tiếp Nha Khoa Đông Nam để được các bác sĩ thăm khám và tư vấn Miễn Phí.


Bài viết liên quan:
Trồng răng Implant có nguy hiểm không? 4 yếu tố để an toàn tuyệt đối
Nhổ răng khôn mọc lệch: Quy trình, rủi ro và chi phí
Bảng giá bọc răng sứ 2025
Cầu răng sứ là gì? Giải pháp phục hình răng mất hiệu quả
Bọc răng sứ được bao lâu? Tuổi thọ, các yếu tố ảnh hưởng và cách chăm sóc để bền lâu
6 Bước quy trình bọc răng sứ chuẩn y khoa