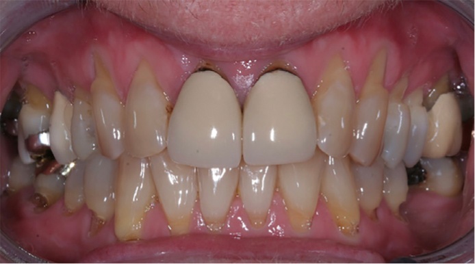
Bọc răng sứ bị đen nướu là một trong những biến chứng thẩm mỹ không mong muốn mà nhiều người gặp phải sau một thời gian phục hình răng. Tình trạng này không chỉ làm nụ cười mất đi vẻ tự nhiên, ảnh hưởng đến sự tự tin mà còn có thể là dấu hiệu cảnh báo các vấn đề sức khỏe răng miệng tiềm ẩn. Để hiểu rõ hơn về các nguyên nhân và giải pháp khắc phục triệt để hãy cũng Nha Khoa Đông Nam phân tích chuyên sâu trong bài viết sau đây.

I. Nguyên nhân bọc răng sứ bị đen nướu
Tình trạng đen viền nướu sau khi bọc răng sứ có thể xuất phát từ nhiều yếu tố. Việc xác định đúng nguyên nhân là bước đầu tiên để có giải pháp xử lý triệt để, cụ thể:
1. Chất liệu răng sứ kim loại
Răng sứ kim loại có lớp sườn bên trong làm từ hợp kim và phủ sứ bên ngoài. Sau khoảng 3 – 7 năm, dưới tác động của môi trường axit trong khoang miệng, các ion kim loại sẽ bị oxy hóa. Quá trình này giải phóng các oxit kim loại có màu sẫm, ngấm vào mô nướu mềm và gây ra hiện tượng đổi màu, tạo thành viền đen hoặc xám ở chân răng.

2. Kỹ thuật lắp răng sứ không đúng chuẩn
Tay nghề của bác sĩ và công nghệ tại nha khoa ảnh hưởng trực tiếp đến kết quả. Nếu mão sứ được chế tác hoặc lắp đặt không khít sát với đường viền nướu, nó sẽ tạo ra kẽ hở gây viêm nướu. Tình trạng viêm kéo dài làm nướu sưng đỏ, dễ chảy máu và dần chuyển sang màu thâm đen do sự thay đổi sắc tố.
3. Chăm sóc răng miệng sai cách
Vệ sinh không kỹ lưỡng là một yếu tố chủ quan có thể làm mòn cổ răng và gây tụt lợi, làm lộ viền kim loại của mão sứ. Việc bỏ qua chỉ nha khoa hay máy tăm nước khiến mảng bám không được làm sạch triệt để ở vùng kẽ răng và viền nướu, dẫn đến viêm nhiễm và đổi màu nướu.
4. Cơ địa dị ứng với kim loại
Một số người có cơ địa nhạy cảm có thể phản ứng dị ứng với thành phần kim loại, đặc biệt là Niken. Phản ứng này gây ra tình trạng viêm nhiễm kéo dài tại vùng nướu tiếp xúc, khiến nướu bị sưng đỏ, đau rát và cuối cùng là thâm đen.
5. Răng đã chữa tủy bị đổi màu
Chiếc răng sau khi lấy tủy sẽ không còn được hệ thống mạch máu nuôi dưỡng, khiến nó trở nên sậm màu từ bên trong. Khi bọc sứ, nếu lớp sứ ở vùng cổ răng không đủ dày, màu đen của cùi răng thật có thể bị ánh ra ngoài gây mất thẩm mỹ.
6. Bệnh lý răng miệng
Các bệnh lý nền như sâu răng, viêm lợi, viêm nha chu nếu không được điều trị dứt điểm trước khi bọc sứ sẽ tiếp tục tiến triển âm thầm. Vi khuẩn sẽ tấn công sâu hơn vào các cấu trúc nâng đỡ răng, gây tiêu xương, tụt nướu và làm lộ phần chân răng hoặc viền mão sứ kim loại.
7. Mão sứ giãn nở
Theo thời gian, dưới tác động của lực ăn nhai và sự thay đổi nhiệt độ liên tục, vật liệu sứ có thể bị giãn nở. Điều này làm hở phần cổ mão răng, tạo ra kẽ hở cho vi khuẩn và mảnh vụn thức ăn xâm nhập, gây viêm nướu, hôi miệng và làm nướu thâm đen.
II. Ảnh hưởng của tình trạng bọc răng sứ bị đen nướu
Hiện tượng đen viền nướu không chỉ là một vấn đề thẩm mỹ đơn thuần mà còn là dấu hiệu cảnh báo nhiều rủi ro tiềm ẩn cho sức khỏe răng miệng.
- Làm mất thẩm mỹ nghiêm trọng do viền nướu thâm đen khiến răng trông giả và thiếu tự nhiên. Điều này ảnh hưởng lớn đến tâm lý, làm nhiều người mất tự tin khi giao tiếp.
- Tăng nguy cơ viêm nướu và các bệnh lý răng miệng khác vì tình trạng đen nướu thường đi kèm với viêm nhiễm. Nếu không được can thiệp, viêm nướu có thể tiến triển thành viêm nha chu, gây tiêu xương ổ răng, lung lay răng và có nguy cơ mất răng vĩnh viễn.

- Gây cản trở chức năng ăn nhai, vì khi mão sứ không khít hoặc nướu bị viêm, người bệnh có thể cảm thấy ê buốt, đau nhức khi ăn, làm giảm chất lượng cuộc sống.
- Dẫn đến các biến chứng nguy hiểm nếu sử dụng răng sứ kim loại kém chất lượng, chẳng hạn như kích ứng mô mềm, tổn thương tủy răng không thể phục hồi, hoặc hình thành các ổ áp xe nướu, ảnh hưởng tiêu cực đến sức khỏe tổng thể.
Xem thêm: Nguyên nhân bị đen nướu và cách khắc phục
III. Cách khắc phục tình trạng bọc răng sứ bị đen nướu
Để khắc phục hiệu quả, bạn cần đến nha khoa uy tín để bác sĩ thăm khám, xác định chính xác nguyên nhân và từ đó đưa ra phương pháp điều trị phù hợp nhất. Cụ thể:
1. Thay mão sứ mới
Đây là giải pháp tối ưu và triệt để nhất, đặc biệt khi nguyên nhân đến từ vật liệu sứ kim loại, kỹ thuật lắp không chuẩn hoặc mão răng sứ đã xuống cấp. Bác sĩ sẽ tiến hành tháo mão sứ cũ, xử lý các vấn đề của cùi răng sau đó thay thế bằng một mão sứ toàn sứ mới.
Ưu điểm:
- Đạt được tính thẩm mỹ hoàn hảo với màu sắc, độ trong và vân răng tự nhiên như răng thật, không gây đen viền nướu do cấu tạo 100% từ sứ nguyên chất.
- Có độ tương thích sinh học tuyệt đối vì vật liệu sứ hoàn toàn lành tính, không gây bất kỳ phản ứng kích ứng nào trong khoang miệng.
- Sở hữu độ bền và khả năng chịu lực cao, có thể chịu được lực ăn nhai lớn gấp 4 – 5 lần răng thật, đảm bảo chức năng ăn nhai vững chắc.
- Tuổi thọ lâu dài, có thể duy trì độ bền đẹp đến 20 năm hoặc hơn nếu được chăm sóc đúng cách.

2. Điều trị nướu bị đen
Nếu nguyên nhân chủ yếu do viêm nhiễm, bác sĩ sẽ tập trung vào việc điều trị nướu. Với tình trạng viêm nhẹ, việc cạo vôi răng, làm sạch chuyên sâu và kê đơn thuốc kháng sinh, chống viêm có thể giúp nướu phục hồi và hồng hào trở lại.
Trong trường hợp viêm nặng gây tụt nướu, có thể cần phẫu thuật ghép nướu để tái tạo lại phần mô mềm đã mất trước khi phục hình lại.
IV. Các loại răng sứ không gây đen viền nướu
Để phòng ngừa tình trạng đen viền nướu và đạt được kết quả thẩm mỹ tối ưu, bạn có thể cân nhắc chọn các dòng răng toàn sứ ngay từ đầu là giải pháp thông minh nhất, dưới đây là một số dòng sứ phổ biến:
- Răng toàn sứ Zirconia: Răng sứ Zirconia có khung sườn làm từ vật liệu Zirconia siêu cứng, chịu lực gấp 7 lần răng thật, tương thích sinh học cao và chống mài mòn hiệu quả.
- Răng toàn sứ Cercon HT: Cấu tạo từ Zirconium Dioxit, có độ bền uốn cong và độ kháng nứt gãy cao, bảng màu đa dạng, cho phép duy trì thẩm mỹ lâu dài từ 15 – 25 năm.

- Răng sứ Emax: Răng sứ Emax nổi bật với khối sườn Lithium Disilicate, có độ thấu quang như ngà răng thật, mang lại vẻ đẹp trong trẻo, tự nhiên, đặc biệt phù hợp cho vùng răng cửa yêu cầu thẩm mỹ cao.
- Răng sứ Lava: Là dòng toàn sứ cao cấp của 3M (Mỹ), đảm bảo độ trong và màu sắc tự nhiên, an toàn và có tuổi thọ lên đến 20 năm.
- Một số loại khác: Răng sứ HI-Zirconia, Cercon, Ceramill cũng là những lựa chọn chất lượng cao với độ bền và thẩm mỹ vượt trội, được chế tác bằng công nghệ CAD/CAM hiện đại.
Tham khảo: Bọc răng sứ không cần mài răng có được không?
V. Cách phòng ngừa và lưu ý sau khi bọc răng sứ
Để duy trì độ bền đẹp của răng sứ và ngăn ngừa các biến chứng, việc chăm sóc sau khi phục hình là vô cùng quan trọng và cần được duy trì suốt đời. Dưới đây là những lưu ý quan trọng bạn cần thực hiện:
1. Vệ sinh răng miệng đúng cách
Chải răng ít nhất 2 lần mỗi ngày bằng bàn chải lông mềm và kem đánh răng chứa Fluor, chải theo chiều dọc hoặc xoay tròn. Bắt buộc sử dụng chỉ nha khoa hoặc máy tăm nước để làm sạch hoàn toàn các kẽ răng và đường viền nướu.
2. Chế độ ăn uống phù hợp
Hạn chế các thực phẩm quá cứng, dai để tránh làm sứt mẻ, nứt vỡ răng sứ. Tránh các loại đồ ăn, thức uống sậm màu như cà phê, trà đặc, rượu vang đỏ để răng không bị nhiễm màu. Đặc biệt, cần từ bỏ hút thuốc lá vì nicotine là tác nhân hàng đầu gây thâm nướu và làm răng sứ ố vàng nhanh chóng.

3. Thăm khám nha khoa định kỳ
Duy trì lịch hẹn khám răng định kì và lấy cao răng định kỳ 6 tháng/lần. Việc này giúp bác sĩ kiểm tra độ khít sát của mão sứ, tình trạng nướu và khớp cắn, phát hiện sớm các vấn đề tiềm ẩn và xử lý kịp thời.
4. Lựa chọn nha khoa uy tín ngay từ ban đầu
Đây là yếu tố tiên quyết để có một kết quả bọc sứ thành công và bền vững. Một nha khoa uy tín sẽ có đội ngũ bác sĩ chuyên môn cao, trang thiết bị chẩn đoán hiện đại và sử dụng vật liệu sứ chính hãng, có nguồn gốc rõ ràng, giúp bạn có được hàm răng bền đẹp và an toàn.
VI. Câu hỏi thường gặp
1. Bọc răng sứ là gì?
Đây là một kỹ thuật phục hình nha khoa sử dụng một mão răng giả làm từ sứ để chụp lên trên cùi răng thật đã được mài nhỏ. Phương pháp này giúp cải thiện các khuyết điểm về hình dáng, màu sắc của răng, mang lại nụ cười thẩm mỹ và bảo vệ răng thật.
2. Khi nào đen nướu xảy ra sau khi bọc sứ?
Hiện tượng đen nướu thường xuất hiện sau khoảng 3 – 7 năm sử dụng, đặc biệt phổ biến ở những người dùng răng sứ kim loại. Thời gian này có thể nhanh hơn nếu kỹ thuật thực hiện không tốt hoặc chăm sóc răng miệng kém.
3. Tuổi thọ của răng sứ bao lâu?
Tuổi thọ trung bình của răng sứ dao động từ 5 – 15 năm. Tuy nhiên, với các dòng răng toàn sứ cao cấp và chế độ chăm sóc tốt, răng sứ có thể bền đẹp đến 20 – 25 năm, thậm chí lâu hơn.
4. Các yếu tố ảnh hưởng đến độ bền của răng sứ?
Độ bền của răng sứ phụ thuộc vào nhiều yếu tố. Các yếu tố chính bao gồm chất liệu răng sứ, tay nghề của bác sĩ, công nghệ tại nha khoa, tình trạng răng miệng ban đầu của bạn và quan trọng nhất là chế độ chăm sóc răng miệng hàng ngày.
Xem thêm bọc răng sứ:
Tóm lại, bọc răng sứ bị đen nướu là một vấn đề có thể phòng ngừa và khắc phục được. Việc hiểu rõ nguyên nhân và khắc phục kịp thời bằng cách thay mão sứ toàn sứ hoặc điều trị nướu là rất quan trọng để bảo vệ sức khỏe và thẩm mỹ.
Để phòng ngừa tình trạng này, điều cốt lõi là lựa chọn nha khoa uy tín ngay từ đầu và duy trì thói quen chăm sóc răng miệng khoa học..
Nếu bạn đang gặp phải tình trạng bị đen viền nướu do bọc răng sứ hãy liên hệ với chúng tôi qua tổng đài 1900 7141 để hiểu rõ được nguyên nhân hoặc đến trực tiếp Nha khoa Đông Nam để các bác sĩ chuyên khoa khám và tư vấn miễn phí.


Bài viết liên quan:
Chi phí cạo vôi răng 2026: Bảng giá niêm yết và quy trình chuẩn Y khoa
Dán Sứ Veneer: Hướng Dẫn Toàn Diện A – Z [Cập Nhật 2025]
Trồng răng Implant có nguy hiểm không? 4 yếu tố để an toàn tuyệt đối
Nhổ răng khôn mọc lệch: Quy trình, rủi ro và chi phí
Bảng giá bọc răng sứ 2025
Cầu răng sứ là gì? Giải pháp phục hình răng mất hiệu quả