Răng xô lệch là thuật ngữ mô tả tình trạng các răng mọc chen chúc, xoay, nghiêng hoặc không đúng vị trí tiêu chuẩn trên cung hàm, dẫn đến sự mất cân xứng của khớp cắn. Tình trạng này là một vấn đề sức khỏe răng miệng phổ biến, không chỉ gây mất thẩm mỹ nụ cười mà còn tiềm ẩn nhiều nguy cơ ảnh hưởng đến chức năng ăn nhai và sức khỏe tổng thể. Việc hiểu rõ nguyên nhân gốc rễ, các tác hại và tìm kiếm giải pháp khắc phục kịp thời là bước đi quan trọng để bảo vệ hàm răng vững chắc và duy trì một cuộc sống tự tin, khỏe mạnh.
I. Các nguyên nhân chính gây răng xô lệch
Tình trạng răng xô lệch có thể bắt nguồn từ nhiều yếu tố khác nhau. Việc xác định chính xác nguyên nhân là chìa khóa để xây dựng một phác đồ điều trị hiệu quả và ngăn ngừa tái phát, cụ thể:
1. Mất răng lâu năm
Đây là nguyên nhân hàng đầu gây ra tình trạng xô lệch răng ở người trưởng thành. Xương hàm tại vị trí mất răng không còn nhận được lực kích thích từ hoạt động ăn nhai. Sau khoảng 3 – 6 tháng, quá trình tiêu xương hàm sẽ bắt đầu diễn ra.
Khi ấy, các răng kế cận mất đi điểm tựa vững chắc, bắt đầu nghiêng và di chuyển vào khoảng trống. Đồng thời, răng ở hàm đối diện cũng có xu hướng trồi dài xuống, gây ra sự xáo trộn nghiêm trọng cho toàn bộ cung hàm và dẫn đến sai khớp cắn.
2. Tác động của răng khôn (Răng số 8)
Răng khôn là những chiếc răng mọc cuối cùng, thường trong độ tuổi từ 17 – 25, khi xương hàm đã ngừng phát triển và không còn đủ chỗ.
Do thiếu không gian, răng khôn thường mọc lệch, mọc ngầm, hoặc đâm ngang vào răng số 7 kế cận. Áp lực liên tục này không chỉ gây đau nhức, viêm nhiễm mà còn đẩy toàn bộ hệ thống các răng phía trước chen chúc vào nhau, phá vỡ sự sắp xếp ngay ngắn ban đầu.

3. Sai lệch sau khi niềng răng
Nhiều người gặp phải tình trạng răng chạy lại vị trí cũ sau khi tháo niềng, thậm chí còn xô lệch hơn. Do nhiều nguyên nhân gây nên như không đeo hàm duy trì hoặc kỹ thuật niềng răng từ bác sĩ không phù hợp làm cho răng và xương hàm không ổn định, gây xô lệch răng.
4. Các nguyên nhân khác
Yếu tố di truyền hoặc bẩm sinh khiến răng không đủ chỗ để mọc thẳng hàng hay do các thói quen xấu như mút tay, đẩy lưỡi, thở bằng miệng, nghiến răng khi ngủ có thể tạo ra những lực nhẹ nhưng liên tục, đủ để làm dịch chuyển răng theo thời gian.
II. Tác hại nghiêm trọng của tình trạng răng xô lệch kéo dài
Răng xô lệch không đơn thuần là một khiếm khuyết thẩm mỹ. Nếu không được can thiệp, nó có thể gây ra một chuỗi các vấn đề sức khỏe phức tạp, cụ thể:
- Suy giảm thẩm mỹ nụ cười và khuôn mặtĐây là tác động dễ nhận thấy nhất, khi một hàm răng chen chúc, không đều sẽ khiến nụ cười kém duyên, làm người bệnh mất tự tin trong giao tiếp và công việc. Nghiêm trọng hơn, tiêu xương hàm do mất răng lâu năm có thể gây hóp má, làm các nếp nhăn quanh miệng sâu hơn, dẫn đến tình trạng lệch mặt và khiến khuôn mặt trông già hơn tuổi thật.
- Gây sai lệch khớp cắn và suy giảm chức năng ăn nhaiSai khớp cắn làm cho việc nhai nghiền thức ăn trở nên khó khăn và kém hiệu quả. Tình trạng này buộc khớp thái dương hàm hoạt động quá sức, gây ra các triệu chứng như đau khớp thái dương hàm, phát ra tiếng kêu khi há miệng, đau đầu, đau mỏi vùng cổ vai gáy.

- Cản trở vệ sinh và làm tăng nguy cơ bệnh lý răng miệngCác răng mọc chen chúc tạo ra vô số kẽ hở và các vùng “góc khuất” mà bàn chải và chỉ nha khoa khó có thể làm sạch hoàn toàn. Mảng bám và vi khuẩn dễ dàng tích tụ, làm tăng đáng kể nguy cơ mắc các bệnh lý như sâu răng, viêm nướu, viêm nha chu và gây hôi miệng.
- Ảnh hưởng xấu đến sức khỏe toàn thânKhi thức ăn không được nghiền nát kỹ, dạ dày và đường ruột phải làm việc vất vả hơn, lâu dài có thể dẫn đến các bệnh lý tiêu hóa. Ngoài ra, tình trạng viêm nha chu mãn tính còn có liên quan đến các bệnh toàn thân nguy hiểm như bệnh tim mạch, tiểu đường và các vấn đề hô hấp.
III. Các phương pháp điều trị răng xô lệch hiệu quả theo từng nguyên nhân
Với sự tiến bộ vượt bậc của nha khoa hiện đại, mọi tình trạng răng xô lệch đều có giải pháp khắc phục. Bác sĩ sẽ thăm khám kỹ lưỡng, xác định nguyên nhân và đưa ra phương pháp điều trị phù hợp nhất cho từng cá nhân. Cụ thể:
1. Giải pháp cho trường hợp mất răng
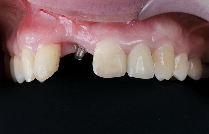
a. Trồng răng Implant
Cấy ghép răng Implant được xem là giải pháp phục hình răng ưu việt nhất phục hình toàn diện răng mất. Một trụ Implant làm từ Titanium được cấy vào xương hàm, thay thế cho chân răng đã mất. Khi trụ Implant đã tích hợp vững chắc vào xương, sẽ phục hình mão răng sứ lên trên.
Ưu điểm: Ngăn ngừa tiêu xương, cải thiện ăn nhai chắc chắn, nâng cao thẩm mỹ, không mài răng bên cạnh, tuổi thọ lâu dài
Khuyết điểm: Chi phí cao, thời gian điều trị dài.

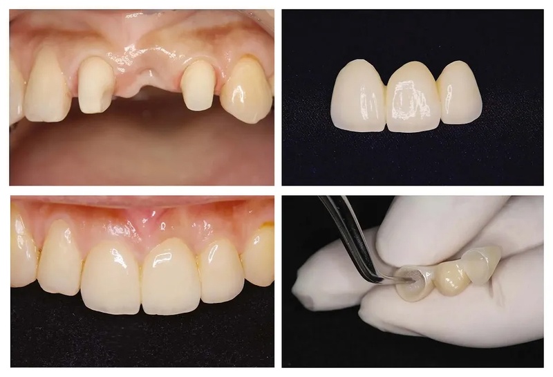
b. Làm cầu răng sứ
Phương pháp này sử dụng hai răng thật khỏe mạnh kế cận khoảng trống làm trụ đỡ cho một dãy cầu gồm 3 hoặc nhiều răng sứ dính liền.
Ưu điểm: Chi phí hợp lý, thời gian nhanh, thẩm mỹ tốt.
Khuyết điểm: Phải mài răng thật khỏe mạnh, không ngăn được tiêu xương, khó vệ sinh.

c. Hàm giả tháo lắp
Là lựa chọn trồng răng giả tiết kiệm chi phí, phù hợp với người cao tuổi hoặc người mất nhiều răng. Sử dụng những khí cụ tháo lắp gồm nền nhựa và răng giả bên trên.
Ưu điểm: Chi phí rẻ nhất, không xâm lấn, làm nhanh.
Khuyết điểm: Sức nhai yếu, vướng víu, không ngăn được tiêu xương, dễ bị lỏng sau thời gian sử dụng.

2. Giải pháp cho trường hợp do răng khôn mọc lệch
Đây là chỉ định bắt buộc với những chiếc răng khôn gây chèn ép, mọc ngầm, mọc lệch, tạo điều kiện thuận lợi cho các bước điều trị chỉnh nha tiếp theo và ngăn ngừa tình trạng xô lệch trở nên tồi tệ hơn.
3. Giải pháp cho trường hợp tái phát sau niềng răng
- Nếu xô lệch nhẹ: Bác sĩ có thể chỉ định đeo lại hàm duy trì hoặc sử dụng các khí cụ chỉnh nha đơn giản để đưa răng về đúng vị trí.
- Nếu xô lệch nặng: Bắt buộc phải tiến hành niềng răng lại. Quá trình niềng lần hai có thể sẽ nhanh hơn lần đầu, nhưng vẫn đòi hỏi sự kiên trì và tuân thủ nghiêm ngặt của bệnh nhân.
IV. Câu hỏi thường gặp
1. Mất răng có làm mặt bị lệch không?
CÓ. Mất răng lâu ngày gây tiêu xương hàm, làm má bị hóp lại. Đồng thời, thói quen ăn nhai một bên để tránh vị trí răng mất khiến cơ mặt phát triển không đều, trực tiếp dẫn đến lệch mặt.
2. Làm sao để chọn được nha khoa uy tín để điều trị răng xô lệch?
Một nha khoa uy tín cần có đội ngũ bác sĩ chuyên môn giỏi, giàu kinh nghiệm, đặc biệt trong lĩnh vực Implant và chỉnh nha. Ngoài ra, cần có trang thiết bị hiện để chẩn đoán chính xác và lên kế hoạch điều trị hiệu quả.
3. Bao nhiêu tuổi thì có thể điều trị răng xô lệch? Có quá muộn để niềng răng không?
Không có độ tuổi niềng răng nào quá muộn. Mặc dù độ tuổi lý tưởng để niềng răng là ở lứa tuổi thiếu niên, nhưng người trưởng thành ở mọi độ tuổi đều có thể điều trị răng xô lệch thành công. Miễn là bạn có sức khỏe răng miệng tốt, các phương pháp như niềng răng, trồng Implant đều có thể thực hiện hiệu quả.
4. Làm sao để răng không bị xô lệch trở lại sau khi niềng?
Yếu tố quan trọng và bắt buộc nhất là tuân thủ nghiêm ngặt việc đeo hàm duy trì theo đúng chỉ dẫn của bác sĩ. Hàm duy trì là khí cụ duy nhất có thể giữ ổn định các răng tại vị trí mới, đảm bảo kết quả chỉnh nha được bền vững theo thời gian.
Răng xô lệch là một vấn đề sức khỏe phức tạp, xuất phát từ nhiều nguyên nhân. Tuy nhiên, không có tình trạng nào là không thể khắc phục. Với sự phát triển của công nghệ nha khoa, các giải pháp tiên tiến như trồng răng Implant, niềng răng lại hay nhổ răng khôn có thể giải quyết triệt để vấn đề, trả lại cho bạn hàm răng đều đẹp và chức năng ăn nhai hoàn hảo.
Nếu bạn đang gặp phải tình trạng này có thể liên hệ với chúng tôi theo số tổng đài 1900 7141 hoặc đến trực tiếp Nha Khoa Đông Nam để được bác sĩ chuyên khoa thăm khám và tư vấn hoàn toàn miễn phí!
Xem thêm mất răng:


Bài viết liên quan:
Dán Sứ Veneer: Hướng Dẫn Toàn Diện A – Z [Cập Nhật 2025]
Trồng răng Implant có nguy hiểm không? 4 yếu tố để an toàn tuyệt đối
Nhổ răng khôn mọc lệch: Quy trình, rủi ro và chi phí
Bảng giá bọc răng sứ 2025
Cầu răng sứ là gì? Giải pháp phục hình răng mất hiệu quả
Bọc răng sứ được bao lâu? Tuổi thọ, các yếu tố ảnh hưởng và cách chăm sóc để bền lâu