Làm Cầu răng sứ răng cửa là mối quan tâm hàng đầu khi răng cửa bị tổn thương hoặc mất. Răng cửa nằm ở vị trí trung tâm trên cung hàm, giữ vai trò thẩm mỹ vô cùng quan trọng. Chúng ảnh hưởng trực tiếp đến nụ cười và tổng thể khuôn mặt. Khi mất răng cửa, bệnh nhân luôn tìm kiếm giải pháp phục hình tối ưu. Bài viết này Nha Khoa Đông Nam sẽ phân tích chi tiết phương pháp cầu răng sứ, làm rõ ưu nhược điểm, so sánh với các lựa chọn khác giúp bạn đưa ra quyết định phù hợp.

I. Có nên làm cầu răng sứ răng cửa?
Khi mất răng cửa, việc quyết định làm cầu răng sứ cần dựa trên tình trạng răng miệng cụ thể. Bệnh nhân cần cân nhắc kỹ lưỡng các yếu tố lợi ích cũng như hạn chế của kỹ thuật này, cụ thể:
1. Trường hợp nên làm cầu răng sứ răng cửa
Cầu răng sứ răng cửa thường được chỉ định trường hợp mất 1 hay vài răng cửa liền kề. Trường hợp bệnh nhân mất 3 răng cửa trở lên, không được bác sĩ khuyến khích vì phải mài nhiều răng.
Yêu cầu bắt buộc:
- Các răng thật bên cạnh vị trí mất răng phải chắc khỏe.
- Răng trụ không được lung lay hay mắc bệnh nha chu nặng.

2. Ưu điểm của làm cầu răng sứ răng cửa
- Thời gian hoàn thiện nhanh chóng: Toàn bộ quy trình chỉ mất khoảng 2 – 5 ngày, qua 2 – 3 lần hẹn. Điều này giúp bệnh nhân nhanh chóng lấy lại nụ cười.
- Khôi phục chức năng ăn nhai: Cầu sứ phục hồi hiệu quả khả năng cắn xé của nhóm răng cửa, trả lại cảm giác ăn nhai tương đối tốt.
- Thẩm mỹ cao: Hình dáng, kích thước được chế tác tương tự răng thật. Bệnh nhân có thể lựa chọn màu sắc sứ hài hòa với các răng khác trên cung hàm.
- Tuổi thọ khá cao: Tuổi thọ trung bình từ 7 – 10 năm.
- Chi phí khá hợp lý và tiết kiệm: So với trồng răng Implant, chi phí làm cầu răng sứ thấp hơn đáng kể, phù hợp với nhiều đối tượng khách hàng.
3. Nhược điểm của làm cầu răng sứ răng cửa
- Mức độ xâm lấn cao đến các răng thật kế cận: Đây là hạn chế lớn nhất, bác sĩ bắt buộc phải mài nhỏ các răng trụ khỏe mạnh. Việc mài răng này là không thể phục hồi và có thể làm yếu các răng thật.
- Không phục hồi chân răng bị mất: Cầu sứ chỉ thay thế thân răng bên trên nướu. Điều này dẫn đến tình trạng tiêu xương hàm theo thời gian ngay dưới nhịp cầu. Nướu tại vùng mất răng bị lõm xuống, tạo khe hở gây mất thẩm mỹ và nhồi nhét thức ăn.
- Nguy cơ mất răng thật: Các răng trụ phải gánh lực cho cả răng đã mất. Về lâu dài, chúng có thể bị yếu đi, lung lay, hoặc tăng nguy cơ bệnh lý tủy và viêm nha chu.
II. Chi phí làm cầu sứ răng cửa?
Tổng chi phí làm cầu răng sứ được tính bằng cách nhân đơn giá của loại sứ được chọn với số lượng răng trên nhịp cầu. Ví dụ, mất một răng cửa cần một cầu 3 đơn vị (3 mão sứ).
Chi phí làm cầu răng sứ răng cửa tại Nha khoa Đông Nam được tính dựa trên số lượng đơn vị răng sứ trên cầu và loại vật liệu sứ. Cụ thể trong bảng giá răng sứ sau:
Giá răng sứ dao động tùy thuộc vào việc khách hàng lựa chọn răng sứ kim loại hay răng toàn sứ (như Zirconia). Răng toàn sứ luôn được ưu tiên cho vùng răng cửa vì thẩm mỹ cao và sẽ có chi phí cao hơn. Để biết chi phí chính xác, khách hàng nên đến nha khoa thăm khám trực tiếp để bác sĩ đánh giá và tư vấn kế hoạch điều trị cụ thể.
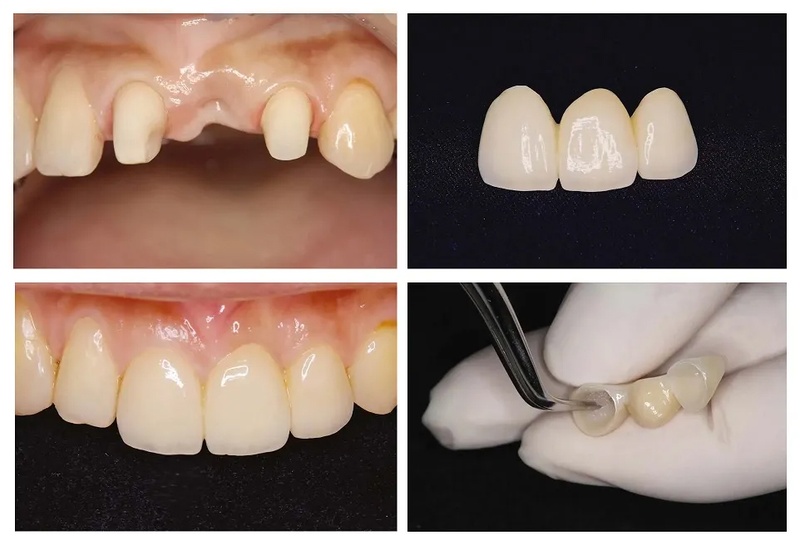
III. Quy trình làm cầu răng sứ răng cửa cơ bản
Trước khi lựa chọn giải pháp làm cầu răng sứ, bạn cần nắm được các bước trong quy trình thực hiện, cụ thể theo các bước sau:
- Bước 1: Thăm khám và kiểm tra răng
Bác sĩ thăm khám tổng quát. Bệnh nhân được chụp X- quang để đánh giá sức khỏe răng trụ, tình trạng xương hàm và lập kế hoạch điều trị chi tiết.
- Bước 2: Gây tê và mài cùi răng
Bác sĩ tiến hành gây tê vùng cần điều trị để giảm ê buốt. Sau đó, các răng trụ được mài cùi theo tỷ lệ đã tính toán kỹ lưỡng.

- Bước 3: Lấy dấu hàm và phục hình răng tạm
Bác sĩ lấy dấu hàm bằng vật liệu hoặc máy scan 3D để gửi thông số tới xưởng chế tác răng sứ. Bệnh nhân được gắn mão răng tạm để đảm bảo thẩm mỹ và ăn nhai trong thời gian chờ đợi.
- Bước 4: Gắn cầu răng sứ
Khi cầu sứ hoàn thiện, bác sĩ tháo răng tạm, thử cầu sứ chính thức. Cầu răng sứ được kiểm tra độ khít sát, màu sắc, hình dáng và tinh chỉnh khớp cắn trước khi gắn cố định.
- Bước 5: Kiểm tra và lên lịch tái khám
Bác sĩ kiểm tra lần cuối cùng, dặn dò cách chăm sóc và hẹn lịch tái khám để theo dõi.
IV. Mất răng cửa nên làm cầu răng sứ hay răng Implant?
Khi mất răng cửa, bệnh nhân thường phân vân giữa cầu răng sứ và Implant. Cả hai đều là giải pháp phục hình cố định mang lại thẩm mỹ cao. Tuy nhiên, Implant đại diện cho kỹ thuật nha khoa hiện đại. Đây được xem là giải pháp sinh học, khắc phục gần như toàn bộ nhược điểm của cầu răng sứ. Cụ thể:
- Vật liệu và độ bền: Trụ Implant chế tác từ Titanium nguyên chất. Vật liệu này rất lành tính, có khả năng tích hợp xương và tương thích sinh học cao. Chúng tồn tại ổn định và lâu dài trong xương hàm.
- Chức năng ăn nhai và thẩm mỹ: Implant phục hồi chức năng ăn nhai gần như răng thật đạt 90 – 99%. Thẩm mỹ của răng Implant cũng rất hài hòa và tự nhiên tương tự răng thật.

- Không xâm lấn răng thật: Implant tồn tại độc lập như một chân răng nhân tạo. Phương pháp này không phải mài răng thật làm trụ, giúp bảo tồn tối đa các răng khỏe mạnh kế cận.
- Ngăn chặn tiêu xương hàm: Trụ Implant truyền lực nhai xuống xương hàm, giúp ngăn chặn tình trạng tiêu xương, tụt nướu, và biến dạng khuôn mặt.
- Tuổi thọ vượt trội: Tuổi thọ Implant kéo dài hơn 20 năm, thậm chí trọn đời nếu chăm sóc tốt và tái khám định kỳ, không cần làm đi làm lại nhiều lần như cầu sứ.
- Vệ sinh dễ dàng: Răng Implant có cấu tạo giống răng thật nên dễ dàng vệ sinh bằng chỉ nha khoa. Điều này hạn chế các bệnh lý răng miệng tốt hơn so với cầu sứ.
Theo các chuyên gia Nha Khoa Đông Nam: “Trồng răng Implant được khuyến nghị là phương pháp phục hình tiên tiến và hiệu quả nhất. Kỹ thuật này có khả năng khắc phục các nhược điểm của cầu răng sứ.”
V. Những lưu ý quan trọng khi làm cầu răng sứ răng cửa
Để đảm bảo kết quả thẩm mỹ, độ bền của cầu răng sứ và sức khỏe của răng trụ, bạn cần tuân thủ nghiêm ngặt các vấn đề sau, cụ thể:
1. Trước khi thực hiện
Cần chọn nơi có đội ngũ bác sĩ chuyên môn cao, tay nghề giỏi trong việc mài răng và phục hình. Trang thiết bị hiện rất quan trọng để đảm bảo cầu sứ khít sát, an toàn. Nên ưu tiên các đơn vị có bảng giá công khai, minh bạch. Cần hỏi rõ chi phí đã bao gồm điều trị tủy hay chưa, để hạn chế phát sinh phụ phí.
Chọn các loại răng sứ chính hãng. Răng sứ phải có nguồn gốc, thẻ bảo hành rõ ràng. Vật liệu chất lượng cao đảm bảo tính thẩm mỹ, độ bền và an toàn sinh học.

2. Sau khi thực hiện
- Vệ sinh răng miệng sạch sẽ và đúng cách: Đánh răng ít nhất 2 lần/ ngày bằng bàn chải lông mềm và kem đánh răng chứa Fluor. Đặc biệt chú ý vệ sinh khu vực kẽ răng và phần dưới nhịp cầu. Cần kết hợp sử dụng chỉ nha khoa chuyên dụng cho cầu răng máy tăm nước và nước súc miệng để loại bỏ mảng bám.
- Hạn chế thức ăn, đồ uống có màu: Trong vòng 1 – 2 tuần đầu sau khi gắn sứ, nên hạn chế trà, cà phê, nước ngọt. Điều này giúp chất gắn ổn định và tránh làm ố màu răng sứ mới.
- Tránh ăn thực phẩm quá cứng, dai, quá nóng hoặc quá lạnh: Răng sứ dù bền nhưng vẫn giòn hơn răng thật. Thực phẩm quá cứng có thể làm mẻ, vỡ sứ. Thức ăn quá nóng/ lạnh đột ngột có thể làm răng trụ nhạy cảm.
- Bỏ các thói quen xấu: Cần bỏ thói quen nghiến răng khi ngủ, cắn vật cứng, hoặc cắn móng tay. Tuyệt đối không dùng răng cửa để mở đồ vật, tránh mài mòn và nứt vỡ sứ.
- Thăm khám răng định kỳ: Bạn cần tái khám 6 tháng/ lần để lấy cao răng, kiểm tra độ khít sát của cầu sứ và sức khỏe răng trụ, phát hiện bất thường kịp thời.
VI. Câu hỏi thường gặp
1. Làm cầu răng sứ răng cửa có đau không?
Quá trình mài răng trụ sẽ được gây tê cục bộ nên bệnh nhân hoàn toàn không cảm thấy đau đớn. Sau khi hết thuốc tê, cảm giác ê buốt nhẹ có thể xuất hiện trong vài ngày nhưng sẽ nhanh chóng thuyên giảm, bác sĩ sẽ kê toa thuốc giảm đau nếu cần thiết.
2. Cầu răng sứ răng cửa có bị đen viền nướu không?
Hiện tượng đen viền nướu thường chỉ xảy ra với cầu răng sứ kim loại do khung sườn kim loại bị oxy hóa. Nếu bạn chọn răng toàn vật liệu này tương thích sinh học cao và có màu trắng đồng nhất, nên sẽ không gây đen viền nướu, đảm bảo thẩm mỹ cao nhất.
3. Khi nào cần thay cầu răng sứ mới?
Bạn cần thay cầu sứ mới khi nó bị nứt, vỡ, hoặc khi răng trụ bên trong bị sâu hay viêm tủy. Ngoài ra, sau nhiều năm, xương hàm bị tiêu và tụt nướu sẽ tạo khe hở giữa cầu sứ và nướu gây mất thẩm mỹ, đây cũng là lúc cần thăm khám để phục hình lại.
4. Răng trụ bị yếu có làm cầu răng sứ được không?
Không. Điều kiện tiên quyết để làm cầu răng sứ là hai răng trụ phải cực kỳ chắc khỏe. Nếu răng trụ bị yếu, lung lay hoặc mắc bệnh nha chu nặng, chúng sẽ không đủ sức chịu lực cho cả nhịp cầu. Khi đó, bác sĩ sẽ tư vấn phương án trồng răng Implant.
Tóm lại, cầu răng sứ răng cửa là một giải pháp phổ biến và hiệu quả. Phương pháp này giúp phục hình răng tổn thương hoặc đã mất, cải thiện thẩm mỹ và khôi phục chức năng ăn nhai. Tuy nhiên, bệnh nhân cần cân nhắc kỹ các ưu và nhược điểm, đặc biệt là sự xâm lấn đến răng thật và nguy cơ tiêu xương hàm theo thời gian.
Nếu có điều kiện và đáp ứng đủ tiêu chí sức khỏe, trồng răng Implant thường là lựa chọn tối ưu hơn, khắc phục triệt để nhược điểm của cầu răng sứ, mang lại kết quả lâu dài và bảo vệ sức khỏe xương hàm. Điều quan trọng nhất là bạn cần lựa chọn một cơ sở nha khoa uy tín và cần tuân thủ chặt chẽ hướng dẫn chăm sóc sau điều trị.
Như vậy, vấn đề có nên làm cầu răng sứ răng cửa không và phương pháp nào tốt nhất đã được giải đáp trên bài viết. Nếu còn bất kỳ thắc mắc nào khác, vui lòng liên hệ đến số hotline 1900 7141 hoặc đến trực tiếp tại Nha khoa Đông Nam để được bác sĩ chuyên khoa thăm khám và tư vấn hoàn toàn miễn phí.
Xem thêm cầu răng sứ:
- Mất răng lâu năm có trồng được không?
- Chi phí làm cầu răng sứ giá bao nhiêu tiền?
- Làm cầu răng sứ có sử dụng vĩnh viễn được không?
- Chi phí trồng răng sứ vĩnh viễn giá bao nhiêu?
- Trồng răng hàm bị mất bao nhiêu tiền?
- Quy trình trồng răng sứ như thế nào?
Xem thêm răng giả tháo lắp:
- Mất răng lâu năm có trồng được không?
- Làm răng giả tháo lắp giá bao nhiêu?
- Trồng răng hàm số 6 giá bao nhiêu?
- Trồng răng cấm bao nhiêu tiền?
- Quy trình làm răng giả tháo lắp tại Nha Khoa Đông Nam
Xem thêm trồng răng implant:
- Trồng răng implant
- Mất răng lâu năm có trồng được không?
- Mẻ răng
- Trồng răng hàm số 6 giá bao nhiêu?
- Bộ dụng cụ cấy ghép răng implant gồm những gì?
Xem thêm mất răng:


Bài viết liên quan:
Trồng răng Implant có nguy hiểm không? 4 yếu tố để an toàn tuyệt đối
Nhổ răng khôn mọc lệch: Quy trình, rủi ro và chi phí
Bảng giá bọc răng sứ 2025
Cầu răng sứ là gì? Giải pháp phục hình răng mất hiệu quả
Bọc răng sứ được bao lâu? Tuổi thọ, các yếu tố ảnh hưởng và cách chăm sóc để bền lâu
6 Bước quy trình bọc răng sứ chuẩn y khoa