Mất răng hàm là một tình trạng phổ biến trong các bệnh lý răng miệng, gây ra nhiều lo lắng về những ảnh hưởng của nó đến sức khỏe. Mỗi chiếc răng trên cung hàm đều đóng vai trò thiết yếu trong việc duy trì chức năng ăn nhai, thẩm mỹ và cân bằng cấu trúc tổng thể của khuôn mặt. Bài viết này sẽ cung cấp thông tin chi tiết về vai trò của răng hàm, những hậu quả nghiêm trọng khi mất đi chiếc răng này và các biện pháp khắc phục hiệu quả nhất hiện nay.
I. Răng hàm là gì và vai trò của chúng?
1. Vị trí và cấu tạo của răng hàm
Răng hàm là những chiếc răng nằm ở vị trí sâu bên trong cung hàm. Ở người trưởng thành, nhóm răng này bao gồm các răng hàm nhỏ (răng số 4, 5) và các răng hàm lớn (răng số 6, 7, 8).
Khi nói đến “răng hàm”, chúng ta thường ngầm hiểu là nhóm răng hàm lớn, đóng vai trò chính trong việc ăn nhai. Cấu tạo của một chiếc răng hàm gồm ba phần chính: men răng, ngà răng và tủy răng.
- Men răng: Là lớp ngoài cùng, bao bọc thân răng. Đây là mô cứng nhất trong cơ thể, có nhiệm vụ bảo vệ các cấu trúc nhạy cảm bên trong khỏi sự tấn công của vi khuẩn và lực nhai.
- Ngà răng: Nằm bên dưới lớp men răng, chiếm phần lớn thể tích của răng. Ngà răng có độ cứng thấp hơn men răng và chứa các ống ngà nhỏ li ti dẫn truyền cảm giác.
- Tủy răng: Là phần lõi mềm ở trung tâm, chứa các mạch máu và dây thần kinh. Tủy răng có vai trò nuôi dưỡng răng và truyền tín hiệu cảm giác về não bộ.

2. Vai trò quan trọng của răng hàm
Răng hàm giữ nhiều chức năng quan trọng mà không răng nào khác có thể thay thế hoàn toàn.
- Nhai và nghiền thức ăn: Răng số 6 và số 7 có kích thước lớn, mặt nhai rộng với nhiều múi rãnh phức tạp. Chúng đảm nhận chức năng chính là nghiền nát thức ăn trước khi đưa xuống dạ dày, chịu lực nhai lớn nhất trên toàn cung hàm.
- Xác định khớp cắn: Răng số 6 là chiếc răng vĩnh viễn mọc đầu tiên, đóng vai trò “khóa” của khớp cắn. Nó giúp định hình và duy trì sự ổn định, cân bằng cho toàn bộ hệ thống nhai.
- Ổn định cấu trúc hàm và khuôn mặt: Sự tồn tại đầy đủ của các răng hàm giúp nâng đỡ cơ mặt, duy trì cấu trúc xương hàm ổn định, giữ cho khuôn mặt cân đối và hài hòa, tránh tình trạng má hóp.
- Hỗ trợ phát âm: Răng hàm cùng với lưỡi và môi tạo ra các âm thanh chính xác, giúp việc phát âm được tròn vành, rõ chữ hơn.
- Răng số 8 (răng khôn): Chiếc răng này hầu như không còn chức năng quan trọng trong việc ăn nhai ở người hiện đại. Chúng thường mọc lệch, gây biến chứng và có thể được nhổ bỏ mà không gây hậu quả nghiêm trọng.
II. Nguyên nhân dẫn đến mất răng hàm
Mất răng hàm bắt nguồn từ nhiều yếu tố khác nhau, hiểu rõ các nguyên nhân sẽ giúp chúng ta có biện pháp phòng ngừa chủ động và hiệu quả hơn, bảo vệ sức khỏe răng miệng một cách toàn diện. Cụ thể:
1. Vệ sinh răng miệng kém
Đây là nguyên nhân hàng đầu và phổ biến nhất. Do thói quen lười vệ sinh hoặc chải răng không đúng cách, đặc biệt là không sử dụng chỉ nha khoa, sẽ tạo điều kiện cho mảng bám và vi khuẩn tích tụ. Vi khuẩn sẽ tấn công men răng gây sâu răng, hoặc gây viêm nướu, viêm nha chu, cuối cùng dẫn đến mất răng.
2. Các bệnh lý răng miệng
Bệnh lý răng miệng như sâu răng, viêm nha chu, u nang xương,…Nếu không điều trị kịp thời sẽ khiến răng dễ bị viêm nhiễm, lung lay hay thậm chí phải nhổ bỏ răng để điều trị.
3. Chấn thương
Các tai nạn bất ngờ trong sinh hoạt, lao động hoặc khi chơi thể thao có thể gây va đập mạnh. Lực tác động đột ngột làm răng bị sứt mẻ, gãy vỡ chân răng hoặc thậm chí bật ra khỏi xương ổ răng.

4. Thói quen xấu
Các hành động như nghiến răng khi ngủ, cắn vật cứng, dùng răng mở đồ vật hay hút thuốc lá đều gây hại. Chúng làm mòn men răng, tạo ra các vết nứt và tăng nguy cơ gãy rụng răng theo thời gian.
5. Tuổi tác cao
Quá trình lão hóa tự nhiên làm cho xương hàm và các mô nướu yếu đi, mật độ xương giảm. Răng cũng bị bào mòn sau nhiều năm ăn nhai, trở nên kém chắc chắn và dễ rụng hơn.
6. Chế độ dinh dưỡng không đảm bảo
Việc thiếu hụt các khoáng chất quan trọng như canxi, flour, vitamin D khiến cấu trúc răng và xương hàm không đủ chắc khỏe. Chế độ ăn nhiều đường, axit cũng làm tăng nguy cơ sâu răng.
7. Không khám và cạo vôi răng định kỳ
Vôi răng là nơi vi khuẩn trú ngụ, gây viêm nướu và nha chu. Việc không thăm khám nha khoa định kỳ khiến các bệnh lý không được phát hiện sớm, dẫn đến tình trạng nặng hơn và gây mất răng.
8. Bệnh lý toàn thân
Một số bệnh như tiểu đường, tim mạch, loãng xương hoặc viêm khớp dạng thấp có thể làm suy yếu hệ miễn dịch, ảnh hưởng đến sức khỏe nướu và xương, khiến răng dễ lung lay và gãy rụng hơn.
III. Hậu quả nghiêm trọng khi mất răng hàm
Việc mất răng hàm có thể khởi đầu cho một chuỗi các vấn đề sức khỏe nghiêm trọng. Những hậu quả này không chỉ giới hạn ở khoang miệng mà còn ảnh hưởng sâu sắc đến chức năng tiêu hóa, thẩm mỹ khuôn mặt và tâm lý của người bệnh. Cụ thể:
1. Giảm khả năng ăn nhai và ảnh hưởng hệ tiêu hóa
Mất một răng hàm, đặc biệt là răng số 6 hoặc số 7, sẽ làm giảm đáng kể khả năng nhai nghiền thức ăn. Thức ăn không được xử lý kỹ sẽ tạo gánh nặng lớn cho dạ dày và đường ruột. Tình trạng này kéo dài dễ dẫn đến các bệnh về tiêu hóa như đau dạ dày, rối loạn hấp thu và làm cơ thể suy nhược.
2. Sai lệch khớp cắn và xô lệch răng
Khoảng trống do mất răng tạo điều kiện cho các răng kế cận đổ nghiêng và răng đối diện trồi xuống. Sự di chuyển này phá vỡ sự cân bằng của toàn bộ cung hàm, gây ra tình trạng sai lệch khớp cắn, cản trở vận động hàm và có thể dẫn đến lệch mặt.
3. Tiêu xương hàm và lão hóa sớm
Đây là một trong những hậu quả nghiêm trọng nhất. Xương hàm cần lực nhai tác động để duy trì mật độ. Khi mất răng, xương hàm tại vị trí đó không còn nhận được lực kích thích, dẫn đến tình trạng tiêu xương hàm. Quá trình này làm hóp má, chảy xệ da mặt và xuất hiện nếp nhăn, khiến khuôn mặt trông già đi so với tuổi thật.

4. Rối loạn khớp thái dương hàm và đau đầu
Sự mất cân bằng lực nhai gây áp lực không đều lên khớp thái dương hàm. Tình trạng này có thể gây ra các triệu chứng như đau đầu, đau vai gáy, ù tai và đau cơ hàm kéo dài, ảnh hưởng lớn đến sinh hoạt hàng ngày.
5. Nguy cơ mắc các bệnh lý răng miệng khác
Khoảng trống mất răng là nơi lý tưởng để thức ăn mắc kẹt, tạo môi trường thuận lợi cho vi khuẩn sinh sôi. Điều này làm tăng nguy cơ sâu răng, viêm nướu và viêm nha chu cho các răng còn lại trên cung hàm.
6. Ảnh hưởng đến thẩm mỹ và tâm lý
Mất răng hàm có thể làm cung hàm mất cân đối, ảnh hưởng đến nụ cười và sự tự tin trong giao tiếp. Nhiều người trở nên lo lắng, mặc cảm về ngoại hình, ngại giao tiếp và tham gia các hoạt động xã hội.
7. Ảnh hưởng đến phát âm và giao tiếp
Khoảng trống mất răng có thể khiến việc phát âm trở nên khó khăn. Tình trạng này có thể dẫn đến nói ngọng, gây cản trở trong giao tiếp hàng ngày.
IV. Các biện pháp khắc phục mất răng hàm hiệu quả
Để khắc phục tình trạng mất răng, các phương pháp phục hình răng tiên tiến không chỉ giúp khôi phục chức năng ăn nhai mà còn trả lại vẻ thẩm mỹ tự nhiên, ngăn chặn các biến chứng nguy hiểm. Cụ thể:
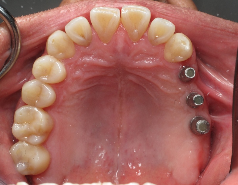
1. Trồng răng Implant
Đây được xem là phương pháp tối ưu và toàn diện nhất. Bác sĩ sẽ cấy một trụ Implant làm từ Titanium vào xương hàm để thay thế cho chân răng đã mất, sau đó gắn mão sứ lên trên.

Ưu điểm:
- Ngăn ngừa hiệu quả tình trạng tiêu xương hàm, bảo tồn cấu trúc khuôn mặt.
- Không xâm lấn các răng kế cận, bảo tồn răng thật tối đa.
- Khôi phục chức năng ăn nhai gần như răng thật.
- Thẩm mỹ cao, tự nhiên như răng thật.
- Tuổi thọ rất cao, có thể sử dụng trọn đời nếu chăm sóc tốt.
Nhược điểm:
- Chi phí cao hơn các phương pháp khác.
- Thời gian điều trị kéo dài để trụ Implant tích hợp vào xương.
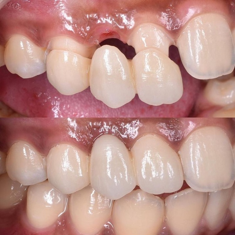
2. Cầu răng sứ
Phương pháp này sử dụng hai răng thật kế cận khoảng trống mất răng để làm trụ đỡ cho một dãy răng sứ. Bác sĩ sẽ mài nhỏ hai răng trụ và chụp một nhịp cầu gồm ba răng sứ lên trên.

Ưu điểm:
- Thời gian thực hiện nhanh chóng.
- Chi phí thấp hơn so với cấy ghép Implant.
- Cải thiện thẩm mỹ và khả năng ăn nhai tương đối tốt.
Nhược điểm:
- Bắt buộc phải mài răng thật khỏe mạnh, có thể làm yếu răng trụ theo thời gian.
- Không ngăn được tình trạng tiêu xương hàm bên dưới.
- Tuổi thọ trung bình từ 7 – 10 năm.
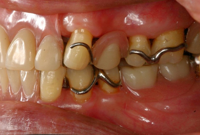
3. Hàm giả tháo lắp
Đây là phương pháp truyền thống với chi phí thấp nhất, bao gồm một nền hàm bằng nhựa và răng giả gắn bên trên.

Ưu điểm:
- Chi phí thấp nhất trong các giải pháp.
- Thực hiện nhanh chóng, không cần phẫu thuật.
Nhược điểm:
- Sức nhai yếu, gây vướng víu.
- Bất tiện khi vệ sinh, dễ gây hôi miệng.
- Không ngăn được tiêu xương hàm.
- Tuổi thọ ngắn, cần thay thế sau vài năm sử dụng.
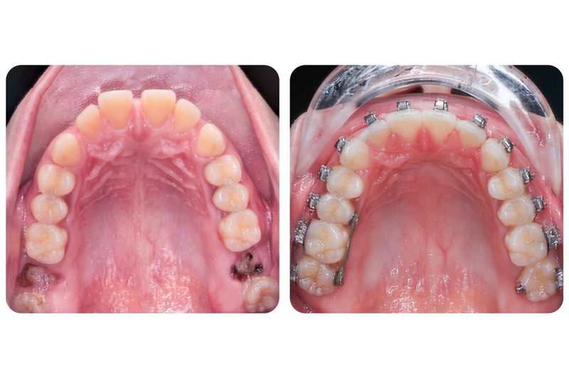
4. Niềng răng
Trong một số trường hợp, niềng răng có thể được sử dụng để kéo các răng lân cận như răng số 8 hoặc số 7 để đóng khoảng trống do mất răng.

Ưu điểm:
- Bảo tồn tối đa răng thật, không cần mài răng hay cấy ghép.
- Duy trì cảm giác ăn nhai tự nhiên.
Nhược điểm:
- Thời gian điều trị rất dài từ 1 – 2 năm trở lên.
- Chi phí cao và không phải trường hợp nào cũng áp dụng được.
V. Biện pháp phòng ngừa mất răng
“Phòng bệnh hơn chữa bệnh” là nguyên tắc vàng trong chăm sóc sức khỏe răng miệng. Bằng việc duy trì những thói quen tốt và chủ động thăm khám, bạn hoàn toàn có thể ngăn ngừa nguy cơ mất răng:
- Vệ sinh răng miệng đúng cách: Chải răng ít nhất 2 lần/ ngày với kem đánh răng chứa fluoride và sử dụng chỉ nha khoa mỗi ngày để loại bỏ triệt để mảng bám ở kẽ răng, nơi bàn chải khó tiếp cận.
- Chế độ ăn uống cân bằng: Bổ sung đủ canxi và vitamin, hạn chế thực phẩm nhiều đường hoặc axit để bảo vệ men răng và giúp xương hàm chắc khỏe.
- Từ bỏ các thói quen xấu: Hạn chế hút thuốc lá, không dùng răng để cắn các vật cứng hoặc mở đồ vật để tránh làm mòn và nứt vỡ răng.
- Thăm khám nha sĩ định kỳ: Đến nha khoa 6 tháng/ lần để cạo vôi răng và kiểm tra sức khỏe răng miệng tổng quát. Việc này giúp phát hiện sớm các vấn đề như sâu răng, viêm nướu để điều trị kịp thời.
- Đeo dụng cụ bảo vệ răng: Sử dụng máng bảo vệ khi chơi các môn thể thao có nguy cơ va đập mạnh để phòng ngừa chấn thương răng.

VI. Câu hỏi thường gặp
1. Mất 1 răng hàm có sao không?
Chắc chắn có. Mất 1 răng hàm sẽ làm giảm đáng kể lực nhai, gây khó khăn khi ăn. Khoảng trống này còn khiến các răng bên cạnh xô lệch, ảnh hưởng đến toàn bộ hệ thống ăn nhai và tăng nguy cơ bệnh lý.
2. Mất răng hàm trên có sao không?
Có, mất răng hàm trên làm giảm hiệu quả ăn nhai. Về lâu dài, tình trạng này gây tiêu xương hàm và có thể làm xoang hàm bị hạ thấp, gây khó khăn cho việc phục hình răng sau này.
3. Mất răng hàm dưới có nguy hiểm không?
Tương tự răng hàm trên, mất răng hàm dưới cũng ảnh hưởng nghiêm trọng đến việc ăn nhai. Nó còn có thể gây ra các vấn đề về khớp cắn, đau khớp thái dương hàm và làm thay đổi cấu trúc khuôn mặt.
4. Tác hại của mất răng lâu năm là gì?
Hậu quả mất răng hàm lâu năm nghiêm trọng nhất chính là tiêu xương hàm. Tình trạng này làm thay đổi cấu trúc khuôn mặt, gây lão hóa sớm, sai lệch khớp cắn nghiêm trọng và ảnh hưởng đến sức khỏe tiêu hóa.
5. Mất 2 răng hàm có sao không?
Mất 2 răng hàm sẽ ảnh hưởng cực kỳ nghiêm trọng đến chức năng ăn nhai của cả hàm. Lực nhai giảm sút đáng kể, gây áp lực lớn lên dạ dày và ảnh hưởng đến sự cân đối của khuôn mặt cũng như khả năng phát âm.
Tóm lại, mất răng hàm gây ra những hệ lụy phức tạp, ảnh hưởng sâu sắc đến sức khỏe thể chất và tinh thần. Tuy nhiên, với sự phát triển của các giải pháp nha khoa tiên tiến như trồng răng Implant, việc phục hình răng đã trở nên an toàn và hiệu quả hơn bao giờ hết. Lời khuyên quan trọng nhất là hãy đến gặp nha sĩ ngay khi có thể để được tư vấn phương án điều trị phù hợp, giúp bạn nhanh chóng lấy lại chức năng ăn nhai, sự tự tin và chất lượng cuộc sống.
Nếu còn những thắc mắc cần được hỗ trợ bạn có thể đặt lịch hẹn thăm khám và tư vấn qua hệ tổng đài 1900 7141 hoặc đến trực tiếp Nha Khoa Đông Nam để được các bác sĩ thăm khám và tư vấn Miễn Phí.


Bài viết liên quan:
Dán Sứ Veneer: Hướng Dẫn Toàn Diện A – Z [Cập Nhật 2025]
Trồng răng Implant có nguy hiểm không? 4 yếu tố để an toàn tuyệt đối
Nhổ răng khôn mọc lệch: Quy trình, rủi ro và chi phí
Bảng giá bọc răng sứ 2025
Cầu răng sứ là gì? Giải pháp phục hình răng mất hiệu quả
Bọc răng sứ được bao lâu? Tuổi thọ, các yếu tố ảnh hưởng và cách chăm sóc để bền lâu