Hầu hết mọi người đều biết răng khôn mọc lệch cần phải nhổ để tránh biến chứng. Tuy nhiên, câu hỏi được đặt ra nếu răng khôn mọc thẳng có cần nhổ không lại khiến nhiều người băn khoăn. Bài viết này sẽ cung cấp một góc nhìn toàn diện dựa trên lời khuyên từ chuyên gia nha khoa, phân tích rõ ràng các trường hợp nên và không nên nhổ. Qua đó, bạn sẽ có đủ thông tin để đưa ra quyết định phù hợp nhất cho sức khỏe răng miệng của mình và tự tin trao đổi với bác sĩ trước khi điều trị.
I. Thế nào là trường hợp răng khôn mọc thẳng?
Một chiếc răng khôn mọc thẳng lý tưởng là khi nó mọc hoàn toàn, đúng trục, thẳng hàng với các răng khác trên cung hàm và không gây ra bất kỳ cản trở nào. Dấu hiệu nhận biết là răng đã trồi hoàn toàn khỏi nướu, có hình dáng bình thường và không gây đau nhức kéo dài.

Nếu một chiếc răng khôn mọc thẳng và đáp ứng đủ các điều kiện lý tưởng, nó có thể mang lại một số lợi ích nhất định:
- Hỗ trợ chức năng ăn nhai: Khi có răng đối xứng ở hàm đối diện và khớp cắn hài hòa, răng khôn có thể tham gia vào quá trình nghiền nát thức ăn như một chiếc răng cối lớn thông thường, giúp tăng hiệu quả ăn nhai.
- Có thể dùng để thay thế răng đã mất: Trong một số kế hoạch niềng răng phức tạp, nếu bệnh nhân bị mất răng số 6 hoặc số 7, bác sĩ có thể xem xét kéo răng số 8 về phía trước để lấp vào khoảng trống đó, giúp phục hồi chức năng mà không cần cấy ghép Implant.
II. Khi nào bắt buộc phải nhổ răng khôn mọc thẳng?
Mặc dù mọc thẳng, răng khôn vẫn có thể là nguồn gốc của nhiều vấn đề sức khỏe răng miệng nghiêm trọng. Các chuyên gia nha khoa khuyến cáo cần nhổ bỏ chúng trong những trường hợp sau đây để phòng ngừa các biến chứng nguy hiểm và bảo vệ các răng kế cận:
1. Răng gây ra các vấn đề bệnh lý
Răng khôn bị sâu, viêm tủy hoặc nhiễm trùng chóp chân răng cần được nhổ bỏ. Do vị trí nằm quá sâu và cấu trúc chân răng phức tạp, việc điều trị bảo tồn (trám răng, chữa tủy) rất khó khăn và tỷ lệ thành công không cao. Nhổ bỏ là giải pháp tối ưu để loại bỏ triệt để nguồn lây nhiễm.
2. Gây khó khăn cho việc vệ sinh
Vị trí trong cùng của cung hàm khiến bàn chải và chỉ nha khoa khó tiếp cận để làm sạch. Thức ăn và mảng bám dễ dàng tích tụ, tạo điều kiện cho vi khuẩn phát triển, gây sâu răng, hôi miệng, viêm nướu và nặng hơn là viêm nha chu cho cả răng khôn và răng số 7 bên cạnh.

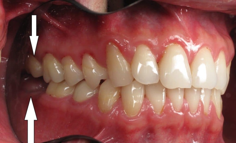
3. Không có răng đối diện ở hàm đối xứng
Khi không có răng đối diện để tạo khớp cắn cân bằng, răng khôn sẽ có xu hướng trồi dài xuống hoặc lên. Tình trạng này gây sai lệch khớp cắn, tạo điểm cản trở khi ăn nhai, nhồi nhét thức ăn và có thể làm tổn thương nướu ở hàm đối diện, gây viêm loét.
4. Cung hàm không đủ chỗ, gây xô lệch
Trong trường hợp cung hàm quá nhỏ hoặc răng khôn có kích thước lớn, dù mọc thẳng nó vẫn tạo ra một lực đẩy ngầm. Lực này có thể tác động lên răng số 7 và tạo hiệu ứng domino, dần dần làm xô lệch, chen chúc các răng phía trước, phá vỡ sự đều đặn của cả hàm răng.
5. Chèn ép vào dây thần kinh
Mặc dù thân răng mọc thẳng, phần chân răng có thể phát triển bất thường và chèn ép vào các cấu trúc thần kinh lân cận. Điều này có thể gây ra các triệu chứng nghiêm trọng như đau đầu kéo dài, tê bì ở môi, má, lưỡi hoặc gây ra rối loạn khớp thái dương hàm.
6. Phục vụ cho việc niềng răng
Trong hầu hết các kế hoạch chỉnh nha, bác sĩ thường chỉ định nhổ răng khôn để tạo khoảng trống cần thiết. Việc này giúp các răng khác có đủ không gian để dịch chuyển về đúng vị trí mong muốn, tối ưu hóa kết quả niềng răng và ngăn ngừa nguy cơ tái phát sau điều trị.
III. Khi nào không cần nhổ răng khôn mọc thẳng?
Không phải tất cả răng khôn mọc thẳng đều cần phải nhổ bỏ. Trong một số trường hợp lý tưởng, chúng có thể tồn tại trên cung hàm và thực hiện chức năng như một chiếc răng bình thường. Dưới đây là những trường hợp bạn có thể giữ lại chiếc răng số 8 của mình, cụ thể:
1. Răng mọc thẳng, đúng vị trí và không gây biến chứng
Răng khôn mọc thẳng hàng, trồi lên hoàn toàn, có đủ không gian trên cung hàm, không gây đau nhức, sưng viêm, không ảnh hưởng đến răng bên cạnh và bạn có thể vệ sinh dễ dàng bằng các dụng cụ thông thường đều có thể giữ lại răng.

2. Khớp cắn hài hòa với răng hàm đối diện
Khi răng khôn ở cả hàm trên và hàm dưới đều mọc lên hoàn chỉnh và ăn khớp tốt với nhau, chúng sẽ tham gia vào quá trình ăn nhai một cách hiệu quả. Trong trường hợp này, răng khôn không gây ra tình trạng lệch khớp cắn và có thể được giữ lại.
3. Răng bị lợi trùm nhưng có thể xử lý
Đối với trường hợp lợi trùm lên một phần thân răng nhưng không gây viêm nhiễm nghiêm trọng, bác sĩ có thể thực hiện một tiểu phẫu đơn giản. Thủ thuật cắt lợi trùm sẽ giúp giải phóng thân răng, tạo điều kiện cho răng tiếp tục mọc lên bình thường mà không cần nhổ bỏ.
IV. Cần lưu ý gì sau khi nhổ răng khôn mọc thẳng?
Chăm sóc đúng cách sau khi nhổ răng là yếu tố then chốt quyết định tốc độ hồi phục và ngăn ngừa biến chứng. Dù nhổ răng mọc thẳng ít phức tạp hơn, bạn vẫn cần tuân thủ nghiêm ngặt các hướng dẫn sau đây để đảm bảo vết thương lành tốt nhất. Cụ thể:
- Cầm máu và kiểm soát sưng đau: Cắn chặt gạc y tế trong khoảng 30 – 60 phút sau khi nhổ. Tránh khạc nhổ hoặc súc miệng mạnh để không làm bong cục máu đông. Chườm lạnh bên ngoài má khoảng 15 phút, nghỉ 15 phút và lặp lại trong 24 giờ đầu để giảm sưng và đau hiệu quả.
- Có chế độ ăn uống và dinh dưỡng phù hợp: Ưu tiên các loại thức ăn mềm, lỏng, nguội như cháo, súp, sữa chua, sinh tố. Bổ sung vitamin và khoáng chất để tăng cường sức đề kháng và giúp vết thương mau lành. Tránh đồ ăn cứng, dai, giòn (các loại hạt, bánh quy), đồ cay nóng và thực phẩm có nhiều mảnh vụn. Kiêng hoàn toàn rượu, bia, thuốc lá vì chúng có thể làm chậm quá trình lành thương và gây nhiễm trùng.
- Vệ sinh răng miệng đúng cách: Không súc miệng trong 24h đầu, đặc biệt là bằng nước muối, để bảo vệ cục máu đông. Sau 24h, bắt đầu súc miệng nhẹ nhàng bằng nước muối sinh lý hoặc dung dịch súc miệng chuyên dụng do bác sĩ chỉ định. Chải răng bình thường ở các vùng khác, tránh xa vị trí mới nhổ.
- Chế độ nghỉ ngơi và sinh hoạt: Uống thuốc kháng sinh, giảm đau theo đúng liều lượng và thời gian bác sĩ đã kê đơn. Tránh các hoạt động thể chất mạnh, mang vác nặng hoặc cúi gập người trong vài ngày đầu để hạn chế nguy cơ chảy máu tái phát.
- Hãy liên hệ ngay với nha sĩ nếu bạn gặp bất kỳ dấu hiệu nào sau đây: Đau nhức dữ dội không thuyên giảm sau khi dùng thuốc, sưng to kéo dài hơn 2 – 3 ngày, chảy máu không ngừng, sốt cao, có mủ hoặc mùi hôi từ ổ răng.

V. Câu hỏi thường gặp
1. Nhổ răng khôn mọc thẳng có đau không?
Trong quá trình nhổ, bạn sẽ không cảm thấy đau do bác sĩ đã thực hiện gây tê tại chỗ. Sau khi thuốc tê hết tác dụng, cảm giác đau nhẹ có thể xuất hiện nhưng thường ít hơn so với nhổ răng mọc lệch. Cơn đau này hoàn toàn có thể kiểm soát hiệu quả bằng thuốc giảm đau do bác sĩ kê đơn.
2. Nhổ răng khôn có ảnh hưởng dây thần kinh không?
Biến chứng ảnh hưởng đến dây thần kinh sau khi nhổ răng khôn là rất hiếm gặp, đặc biệt với răng mọc thẳng. Nguy cơ này thường chỉ xảy ra với răng khôn hàm dưới có chân răng nằm sát dây thần kinh. Trước khi nhổ, bác sĩ luôn chụp phim X-quang để đánh giá chính xác vị trí chân răng, từ đó đưa ra phương án nhổ an toàn nhất và giảm thiểu mọi rủi ro có thể xảy ra.
3. Nhổ răng khôn mọc thẳng mất bao lâu?
Quá trình nhổ răng khôn mọc thẳng thường diễn ra rất nhanh chóng. Thời gian thực hiện chỉ khoảng 15 phút, bao gồm các bước chuẩn bị, gây tê, tiến hành nhổ và khâu vết thương. Toàn bộ buổi hẹn có thể kéo dài hơn một chút để bác sĩ hướng dẫn chăm sóc sau nhổ.
4. Cần chăm sóc như thế nào sau khi nhổ răng khôn?
Bạn cần cắn chặt gạc y tế trong 30 – 60 phút để cầm máu và tích cực chườm lạnh bên ngoài má trong 24 giờ đầu để giảm sưng. Hãy ưu tiên chế độ ăn với thức ăn mềm, lỏng, nguội và tránh đồ ăn cứng, dai, cay nóng. Vệ sinh răng miệng nhẹ nhàng bằng nước súc miệng chuyên dụng hoặc nước muối sinh lý sau 24 giờ. Quan trọng nhất là uống thuốc theo đúng chỉ định và tránh vận động mạnh.
Tóm lại, việc có nên nhổ răng khôn mọc thẳng hay không phụ thuộc hoàn toàn vào tình trạng cụ thể của mỗi người. Không có một câu trả lời tuyệt đối cho tất cả các trường hợp. Vấn đề răng khôn mọc thẳng có cần nhổ không cần được bác sĩ thăm khám và chỉ định phù hợp.
Ngay cả khi răng mọc thẳng và không đau, bạn vẫn nên đến nha khoa để bác sĩ thăm khám và chụp phim X- quang. Điều này giúp phát hiện sớm các nguy cơ tiềm ẩn mà mắt thường không thể thấy được.
Như vậy, răng khôn mọc thẳng có nên nhổ không đã được giải đáp chi tiết trên bài viết. Để biết chính xác tình trạng chiếc răng khôn của mình giữ hay nhổ, bạn hãy đến trực tiếp Nha Khoa Đông Nam để được bác sĩ chuyên khoa thăm khám và tư vấn miễn phí. Hoặc gọi đến tổng đài 1900 7141 để được giải đáp nhanh nhất.
Xem thêm nhổ răng:


Bài viết liên quan:
Trồng răng Implant có nguy hiểm không? 4 yếu tố để an toàn tuyệt đối
Nhổ răng khôn mọc lệch: Quy trình, rủi ro và chi phí
Bảng giá bọc răng sứ 2025
Cầu răng sứ là gì? Giải pháp phục hình răng mất hiệu quả
Bọc răng sứ được bao lâu? Tuổi thọ, các yếu tố ảnh hưởng và cách chăm sóc để bền lâu
6 Bước quy trình bọc răng sứ chuẩn y khoa