Việc nhổ răng khôn là một trong những can thiệp phổ biến tại nha khoa, bởi răng khôn còn gọi là răng số 8, là chiếc răng hàm lớn mọc cuối cùng trên cung hàm. Chúng mọc lên ở giai đoạn xương hàm lúc này đã phát triển cứng chắc và thường không đủ chỗ. Điều này khiến răng khôn mọc lệch, mọc ngầm, gây ra nhiều phiền toái cho sức khỏe. Để biết được tại sao phải nhổ răng khôn? bài viết này sẽ phân tích rõ các chỉ định bắt buộc và những lưu ý cần thiết trước và sau khi thực hiện thủ thuật.
I. Răng khôn có quan trọng hay không?
Việc hiểu rõ vai trò của răng khôn sẽ giúp chúng ta hiểu rõ lý do tại sao chúng thường bị loại bỏ. Về cơ bản, chiếc răng này không giữ vai trò thiết yếu trong cung hàm, thậm chí còn là nguồn gốc của nhiều vấn đề sức khỏe. Cụ thể:
1. Vai trò trong chức năng nhai
Về chức năng nhai, răng khôn gần như không có tác dụng đáng kể. 28 chiếc răng còn lại đã đảm bảo cho việc ăn uống hàng ngày. Sự vắng mặt của răng số 8 không ảnh hưởng đến khả năng nghiền nát thức ăn.

2. Vai trò về mặt thẩm mỹ
Về thẩm mỹ, răng khôn không mang ý nghĩa trên cung hàm. Chúng nằm sâu bên nên không thể nhìn thấy. Thậm chí, khi mọc lệch, chúng còn có thể gây xô lệch các răng phía trước. Điều này làm ảnh hưởng tiêu cực đến thẩm mỹ tổng thể của nụ cười.
3. Nguồn gốc gây ra biến chứng
Nguyên nhân gốc rễ gây ra các vấn đề từ răng khôn xuất phát từ hai yếu tố chính:
- Chúng mọc sau cùng khi xương hàm đã ngừng phát triển và không còn đủ chỗ. Điều này dẫn đến tình trạng mọc lệch, mọc ngầm hoặc mọc kẹt.
- Vị trí của răng nằm quá sâu trong góc hàm. Yếu tố này gây khó khăn rất lớn cho việc vệ sinh răng miệng hàng ngày, khiến mảng bám và vi khuẩn dễ dàng tích tụ.
II. Các lý do bắt buộc phải nhổ răng khôn
Dù không phải mọi răng khôn đều cần nhổ, bác sĩ chỉ định can thiệp khi chúng gây hại. Các nguy cơ biến chứng răng khôn là lý do chính đáng để loại bỏ răng. Dưới đây là những trường hợp phổ biến và bắt buộc phải nhổ:
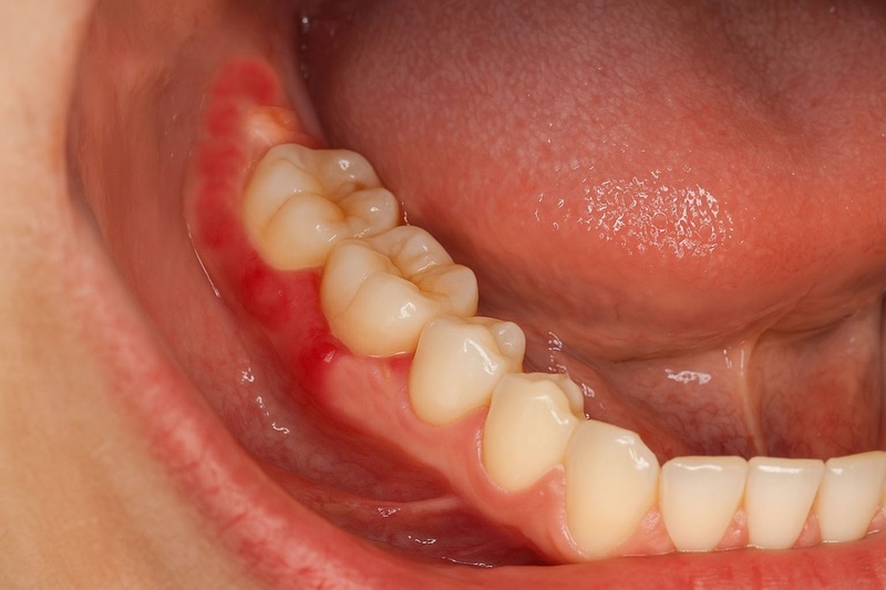
1. Gây biến chứng nghiêm trọng và nhiễm trùng
Răng mọc ngầm, mọc lệch gây ra các cơn đau nhức dữ dội, mưng mủ. Tình trạng sưng nướu, nhiễm trùng tại chỗ, viêm lợi trùm thường xuyên lặp đi lặp lại. Nhiều trường hợp có thể gây ra túi chứa đầy chất lỏng (u nang) hoặc áp xe trong xương hàm cũng có thể hình thành, gây phá hủy cấu trúc xương.
Tình trạng viêm nhiễm, mưng mủ nghiêm trọng có thể lan rộng sang các khu vực xung quanh. Các vùng bị ảnh hưởng bao gồm má, mang tai, mắt, cổ. Đây là biến chứng nguy hiểm, thậm chí ảnh hưởng đến tính mạng.

2. Gây tổn hại các răng lân cận
Răng số 7 kế cạnh răng khôn là nạn nhân trực tiếp của răng khôn mọc lệch. Khi mọc, răng khôn sẽ xô ép, đẩy vào răng số 7. Lực đẩy này làm tổn thương cấu trúc và chân răng số 7, khiến răng này lung lay hoặc bị tiêu chân răng.
Ngoài ra, chúng còn tạo ra một khe giắt thức ăn khó làm sạch giữa răng khôn và răng bên cạnh, làm tăng nguy cơ sâu răng và viêm nha chu nghiêm trọng.
3. Gây sâu răng và bệnh nha chu trên chính răng khôn
Do vị trí trong cùng, răng khôn rất khó được làm sạch triệt để. Mảng bám và vi khuẩn dễ dàng tích tụ tại đây. Tình trạng này dẫn đến tỷ lệ sâu răng, viêm nha chu, hoặc viêm tủy răng rất cao. Cơn đau do viêm tủy răng khôn thường rất dữ dội.
4. Các chỉ định y khoa khác
Răng khôn mọc thẳng nhưng không khớp với răng đối diện hoặc hình thế dị dạng, bất thường, chỉ định nhổ răng khôn phục vụ quá trình chỉnh nha, hay phục hình khác.
III. Các trường hợp không cần phải nhổ răng khôn
Tuy nhiên, không phải 100% răng khôn đều phải nhổ bỏ. Trong một số trường hợp, bác sĩ sẽ cân nhắc bảo tồn răng. Quyết định này dựa trên tình trạng mọc của răng và sức khỏe tùy mỗi người, cụ thể:
1. Trường hợp răng mọc bình thường
Nếu răng khôn mọc thẳng, phát triển đầy đủ, không bị kẹt với mô xương hay nướu và không gây đau, không gây biến chứng, chỉ cần vệ sinh tốt, bác sĩ có thể cho phép giữ lại và theo dõi định kỳ.

2. Trường hợp chống chỉ định về sức khỏe
Bệnh nhân mắc các bệnh lý mạn tính nặng không được kiểm soát tốt. Các bệnh lý này bao gồm bệnh tim mạch, rối loạn đông cầm máu, hoặc đái tháo đường. Việc nhổ răng lúc này có thể nguy hiểm hơn lợi ích nó mang lại.
3. Trường hợp giải phẫu phức tạp
Khi phim X- quang cho thấy răng khôn liên quan trực tiếp đến các cấu trúc giải phẫu quan trọng. Các cấu trúc này bao gồm xoang hàm hoặc dây thần kinh hàm dưới. Việc can thiệp có thể mang rủi ro cao, cần được hội chẩn kỹ lưỡng.
IV. Lưu ý quan trọng khi nhổ răng khôn
Để quá trình nhổ răng khôn diễn ra an toàn và phục hồi nhanh chóng, bệnh nhân cần chuẩn bị kỹ lưỡng trước phẫu thuật và tuân thủ chăm sóc sau khi nhổ răng khôn là vô cùng quan trọng trong các vấn đề sau:
1. Lưu ý quan trọng trước khi nhổ răng
Cần tiến hành chụp X-quang giúp xác định chính xác vị trí, hình dạng răng khôn và các cấu trúc liên quan như dây thần kinh, xoang hàm.
Ngoài ra, phải trình bày rõ với bác sĩ về bệnh lý toàn thân như cao huyết áp, tim mạch, tiểu đường, và các thuốc đang sử dụng (như thuốc chống đông) cần được thông báo chi tiết.
Nên ăn uống vừa đủ và giữ tâm lý thoải mái, tránh căng thẳng. Nên sắp xếp nhổ răng vào buổi sáng để bác sĩ dễ kiểm soát biến chứng (nếu có).

2. Chăm sóc và phục hồi sau khi nhổ răng
Sau khi nhổ răng, cần thực hiện theo chỉ định chăm sóc của bác sĩ tại nhà để giúp vết thương lành nhanh hơn thông qua các việc sau:
- Cắn chặt gạc sạch tại vị trí nhổ trong 45 phút. Không súc miệng mạnh, không khạc nhổ liên tục trong 24 giờ đầu. Tuyệt đối không chọc tay, tăm, hoặc vật lạ vào ổ răng để tránh làm vỡ cục máu đông.
- Bắt đầu vệ sinh răng miệng bình thường sau 24 giờ. Cần chải răng nhẹ nhàng, tránh đưa bàn chải trực tiếp vào vùng phẫu thuật.
- Ưu tiên ăn thức ăn mềm, lỏng, nguội như súp, cháo, sữa. Tránh hoàn toàn thức ăn cứng, dai, hoặc đồ ăn quá nóng, cay, chua.
- Chườm đá bên ngoài má để giảm thiểu sưng tấy. Sau 24 – 48 giờ, có thể chuyển sang chườm ấm để tan máu bầm.
- Uống thuốc theo đúng liều lượng và thời gian bác sĩ chỉ định.
- Đến nha khoa để kiểm tra vết nhổ và cắt chỉ (nếu có) theo đúng lịch hẹn của bác sĩ.
V. Câu hỏi thường gặp
1. Răng khôn là gì và tại sao có tên gọi này?
Răng khôn là răng số 8, mọc cuối cùng ở độ tuổi từ 17 – 25. Chúng được gọi là “răng khôn” vì xuất hiện ở giai đoạn con người được coi là đã đạt đến tuổi trưởng thành về thể chất và trí tuệ.
2. Dấu hiệu nhận biết mọc răng khôn là gì?
Các dấu hiệu bao gồm đau nhức, khó chịu kéo dài, có thể xuất hiện theo tần suất 2 – 3 tháng/lần. Nướu tại vị trí sâu trong hàm có thể bị sưng tấy, viêm hay thậm chí đau hàm, cứng khớp, khó mở miệng kèm theo sốt và mệt mỏi do viêm nướu.
3. Nhổ răng khôn có đau không và nguy hiểm không?
Không. Trước khi nhổ răng, bác sĩ sử dụng thuốc tê cục bộ, hoàn toàn không cảm thấy đau nhức khi điều trị, sau đó sẽ được kiểm soát bằng thuốc. Thủ thuật này thường rất an toàn, đặc biệt khi thực hiện tại cơ sở uy tín bởi bác sĩ có tay nghề cao.
4. Chi phí nhổ răng khôn là bao nhiêu?
Chi phí nhổ răng khôn rất khác nhau. Mức giá tùy thuộc vào tình trạng răng, công nghệ nhổ và cơ sở nha khoa. Do đó, chi phí có thể dao động đáng kể.
Tóm lại, việc nhổ răng khôn là một chỉ định y khoa cần thiết. Nó được khuyến khích khi răng gây ra biến chứng, ảnh hưởng răng bên cạnh hoặc không thể vệ sinh đầy đủ. Nếu răng mọc thẳng, hoạt động bình thường và không gây đau, bệnh nhân có thể giữ lại và theo dõi định kỳ. Chúng tôi khuyến nghị rằng, khi có bất kỳ dấu hiệu đau đớn, sưng tấy hoặc nghi ngờ răng khôn mọc lệch, bạn cần đến cơ sở nha khoa uy tín. Việc thăm khám, chụp X- quang và can thiệp kịp thời sẽ giúp ngăn ngừa các biến chứng nguy hiểm, bảo vệ sức khỏe răng miệng toàn diện.
Nếu cần được tư vấn thêm, bạn vui lòng liên hệ tổng đài 1900 7141 hoặc đến trực tiếp với Nha khoa Đông Nam để được bác sĩ thăm khám và tư vấn một cách nhanh chóng, chính xác nhất.
Xem thêm nhổ răng:


Bài viết liên quan:
Dán Sứ Veneer: Hướng Dẫn Toàn Diện A – Z [Cập Nhật 2025]
Trồng răng Implant có nguy hiểm không? 4 yếu tố để an toàn tuyệt đối
Nhổ răng khôn mọc lệch: Quy trình, rủi ro và chi phí
Bảng giá bọc răng sứ 2025
Cầu răng sứ là gì? Giải pháp phục hình răng mất hiệu quả
Bọc răng sứ được bao lâu? Tuổi thọ, các yếu tố ảnh hưởng và cách chăm sóc để bền lâu